よくある歯並びのお悩み
Case

- 横浜元町ナチュラル歯科 矯正歯科 ホーム
- 矯正歯科について
- よくある歯並びのお悩み
矯正が必要な
よくある歯並び

歯並びが不揃いだったり、前歯が出ていたりすると、笑顔に自信がもてなくなり、人前で思いきり笑うのが難しくなることがあります。
あなたは、上下の奥歯を噛み合わせたときに、前歯や中間の歯もしっかりと噛み合っていますか?上下の歯が適切に噛み合うことではじめて、歯は正常に機能できます。矯正治療では見た目の改善だけでなく、噛み合わせのバランスを整えることが重要です。
横浜元町ナチュラル歯科矯正歯科では、きちんと歯が機能したうえで、口元のラインや笑顔が美しくなることを目指します。
なお、不正咬合とよばれる歯並びや噛み合わせの乱れには、さまざまなタイプがあります。そのなかでもよく見られる不正咬合をご紹介するので、チェックしてみてください。
さまざまな悪い歯並び
(不正咬合)の種類
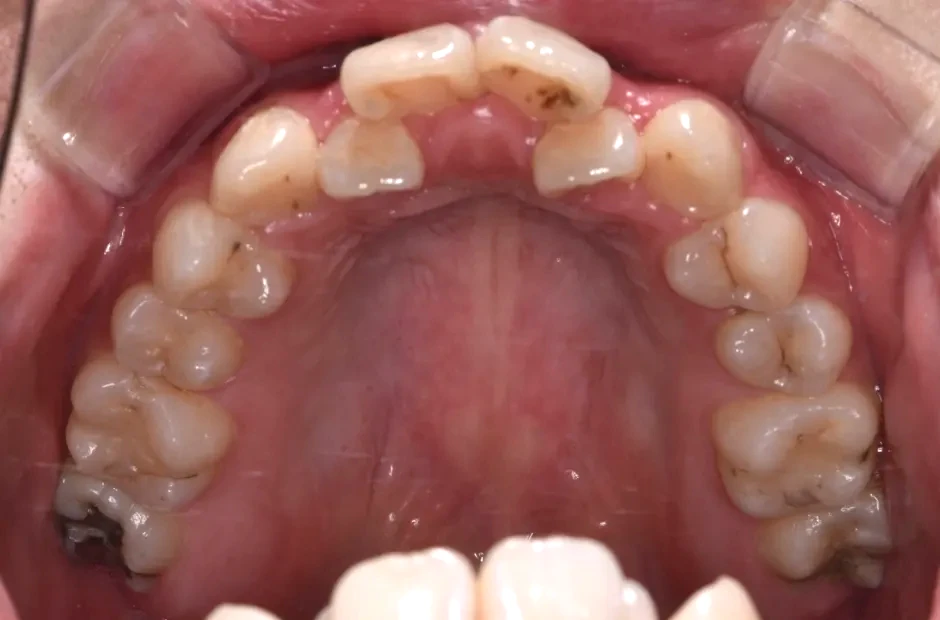
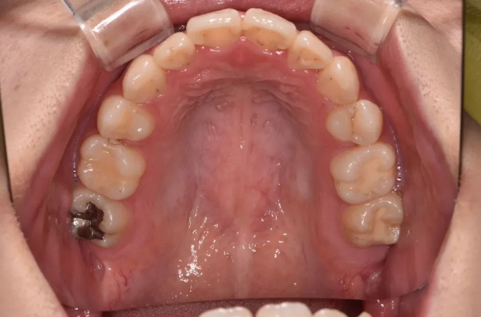
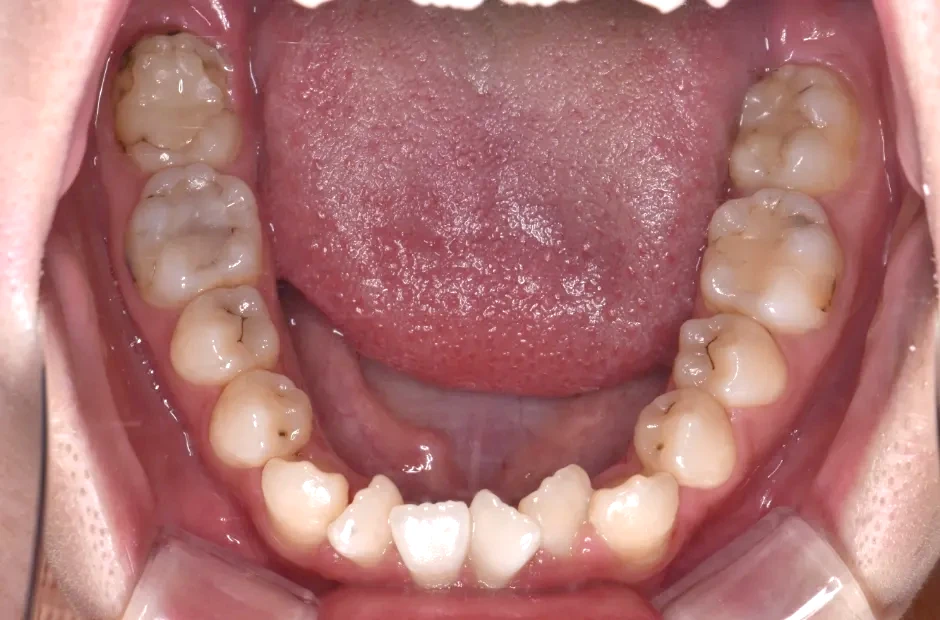
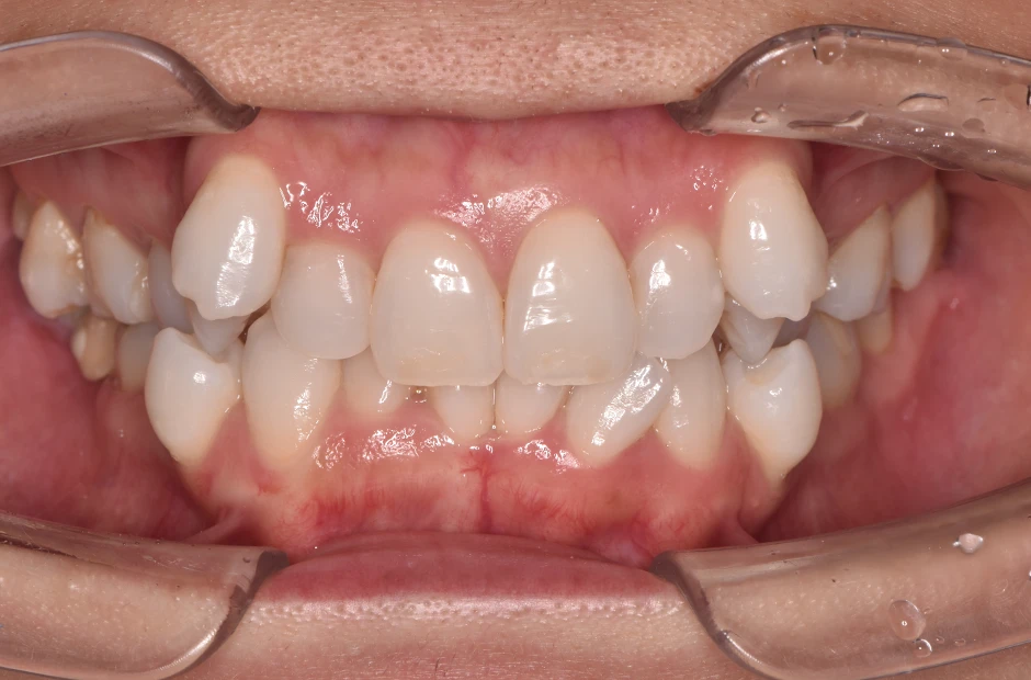
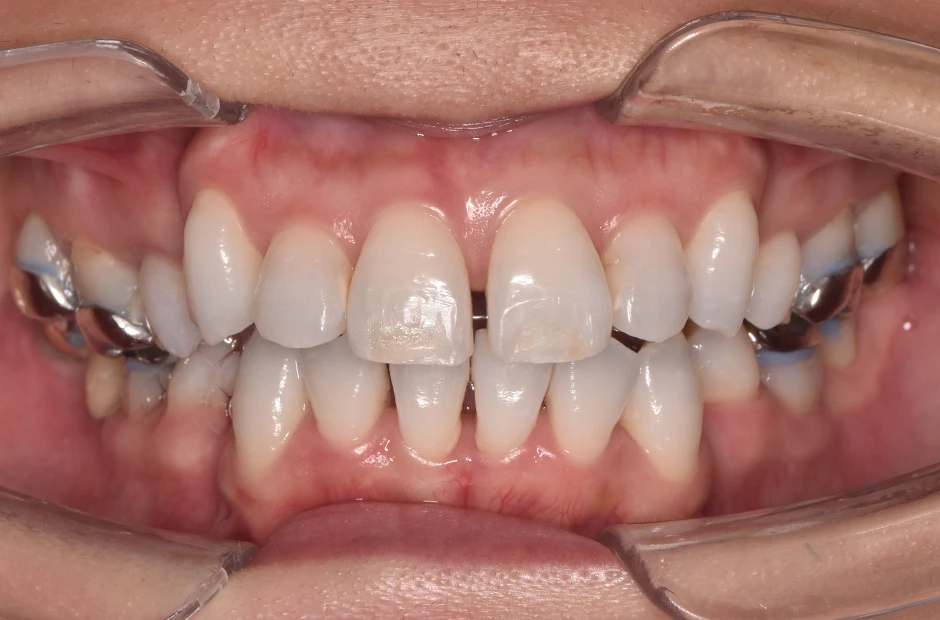
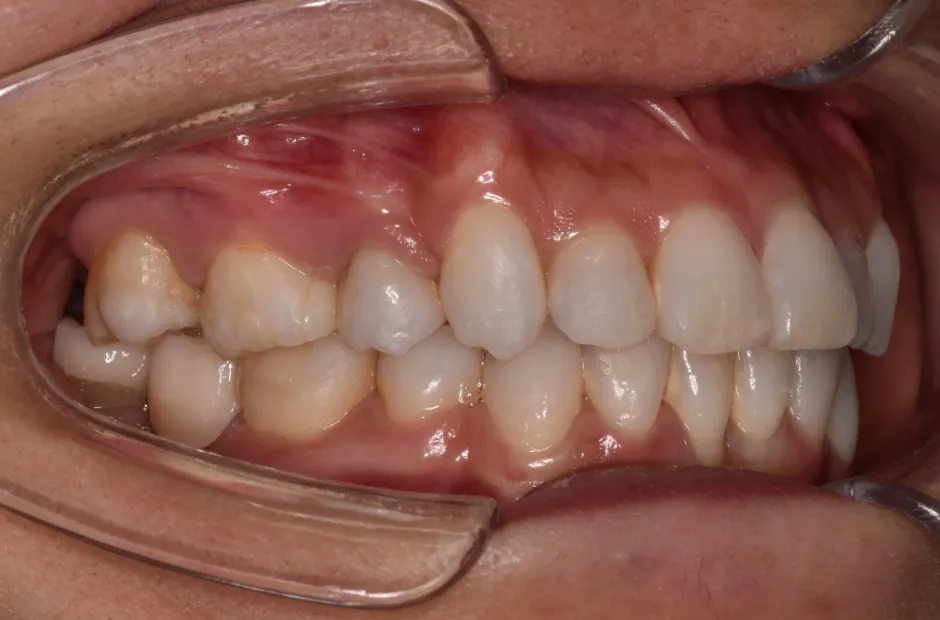
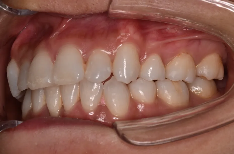
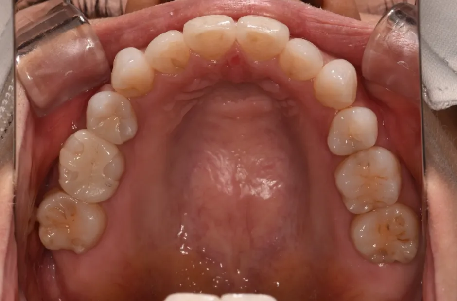
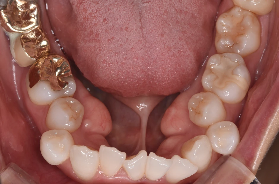
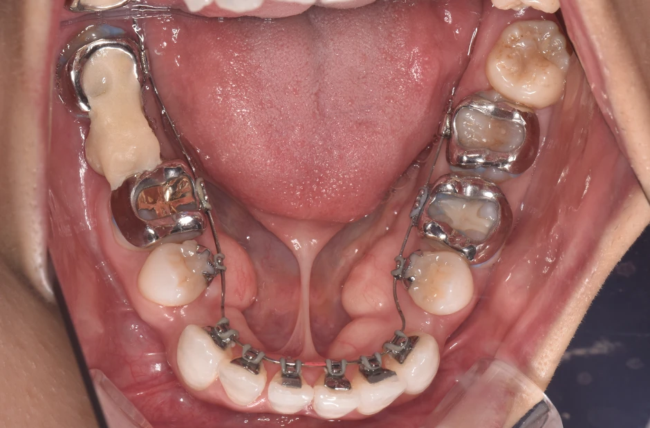
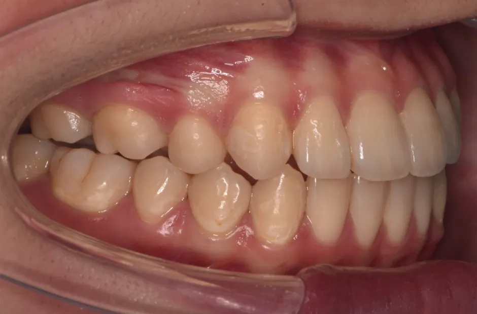
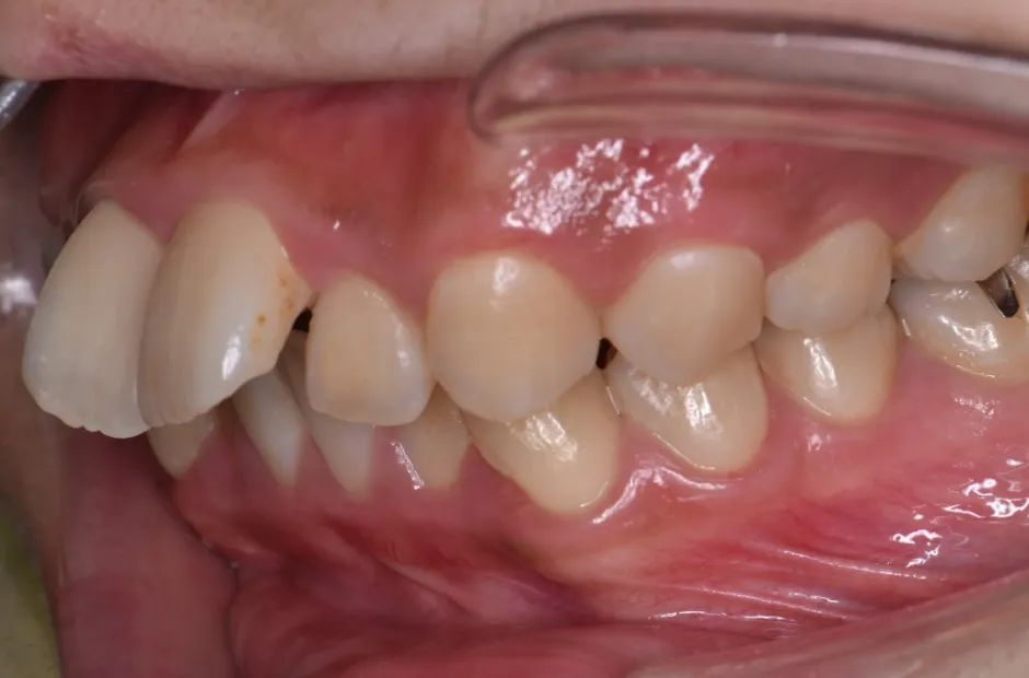
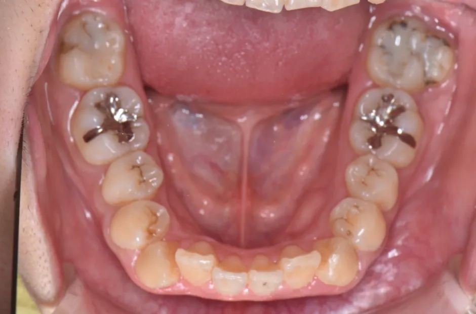
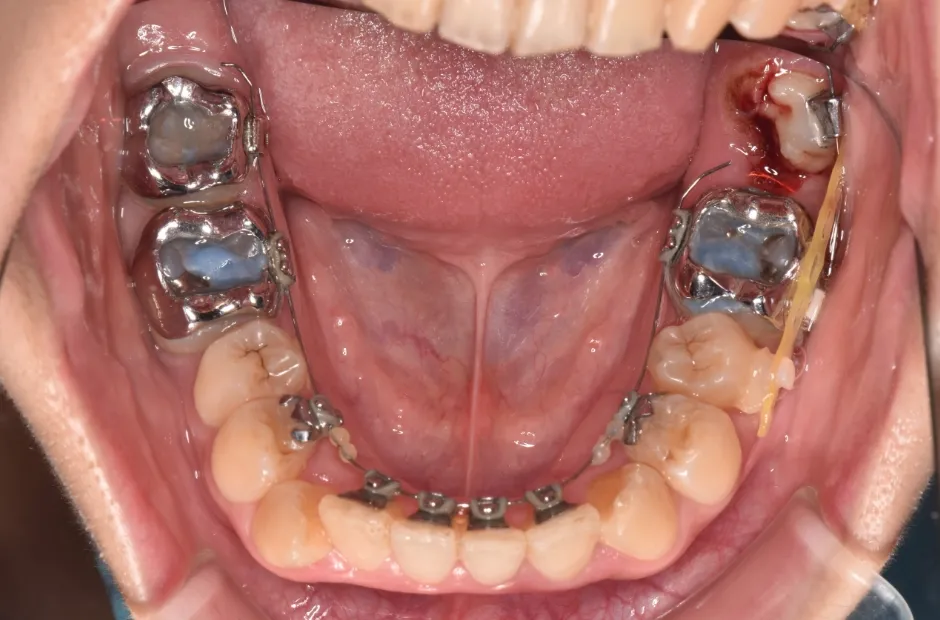
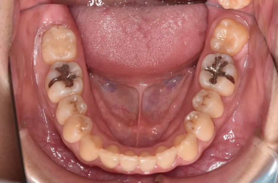
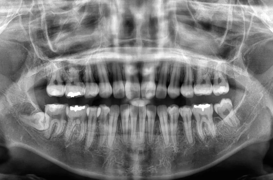
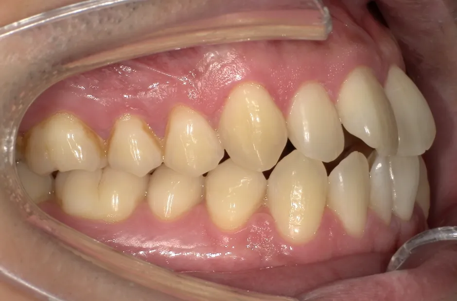
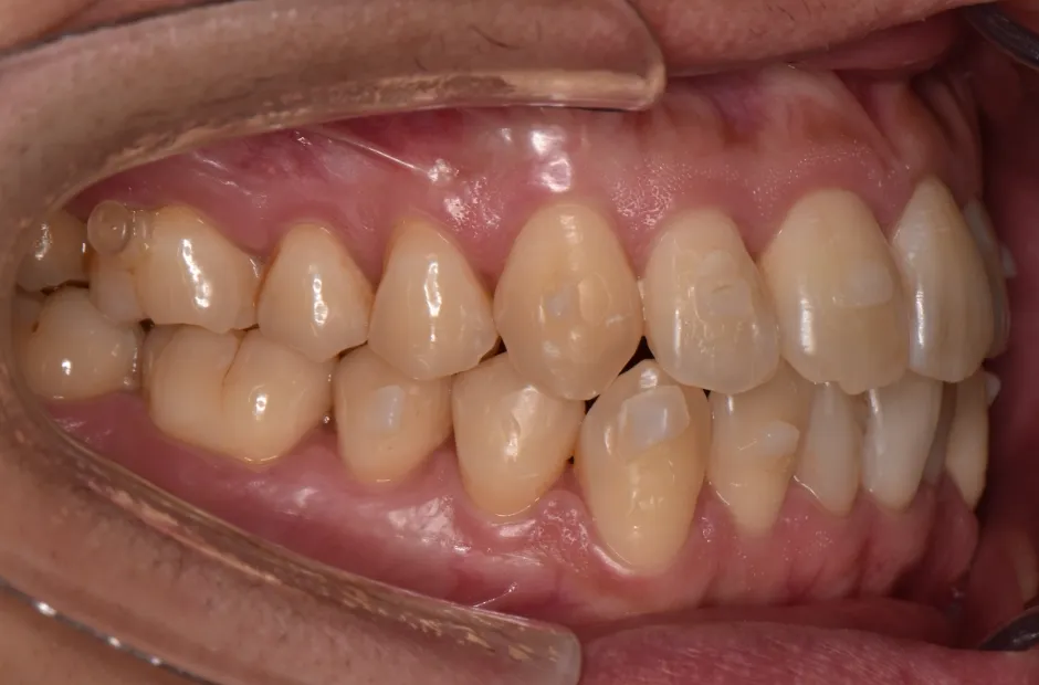
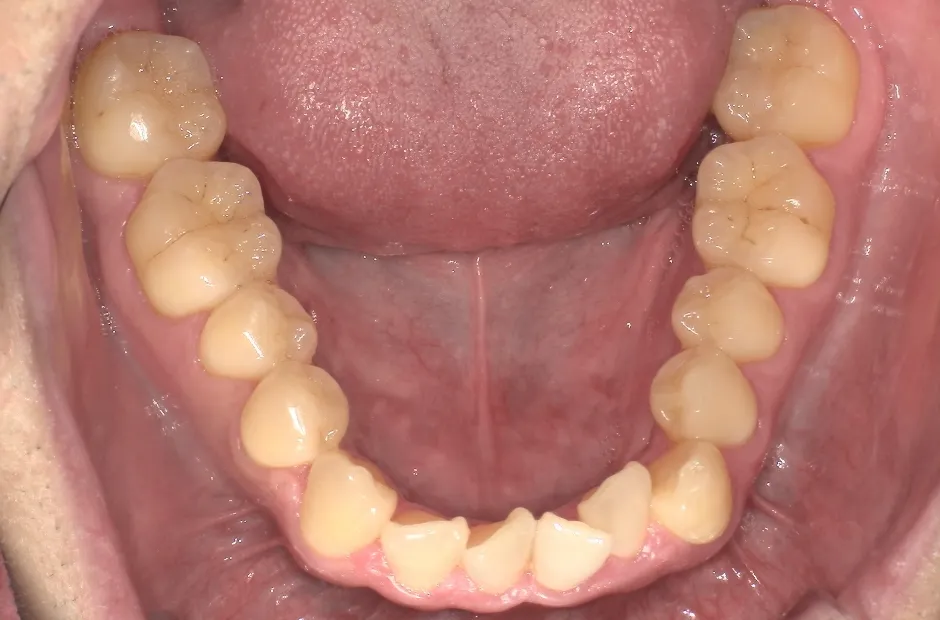
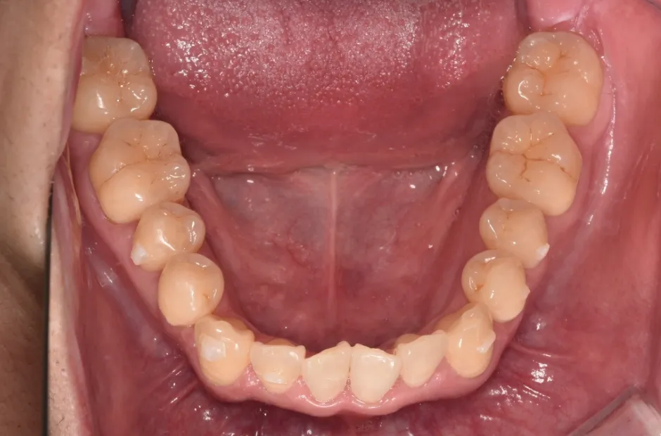
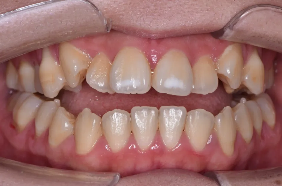
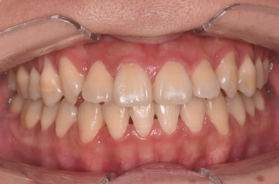
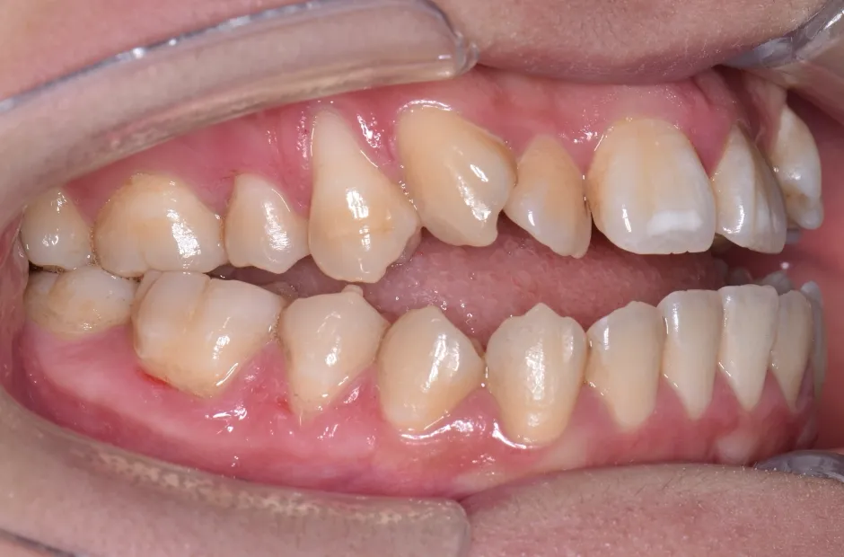
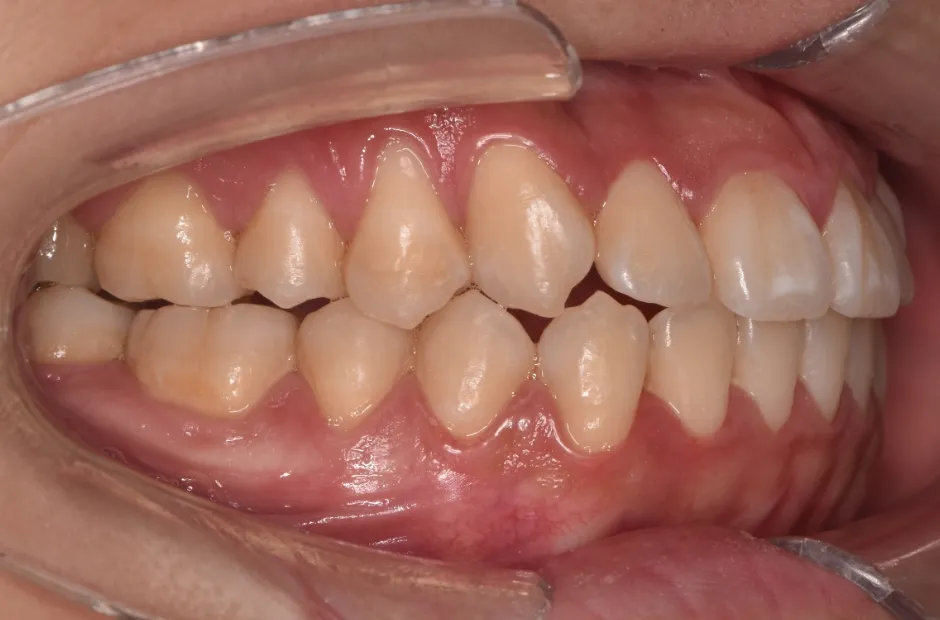
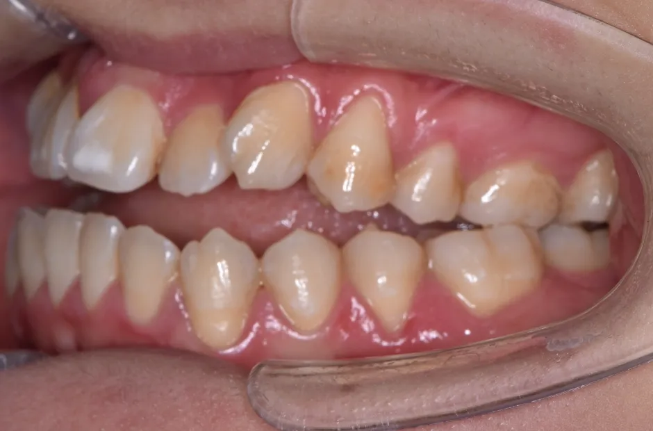
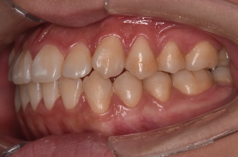
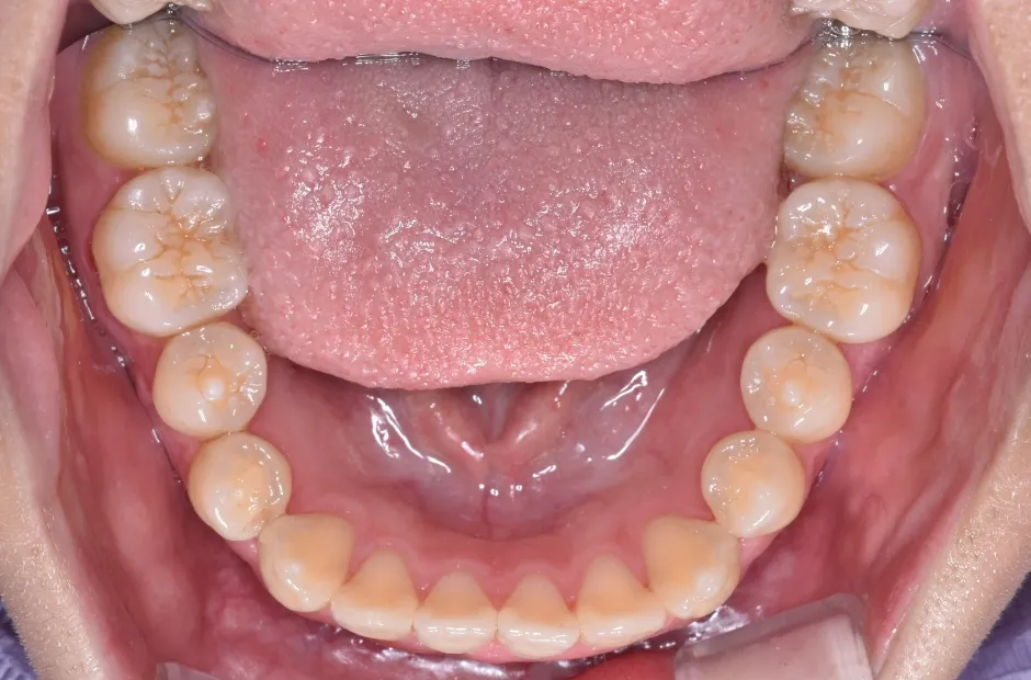
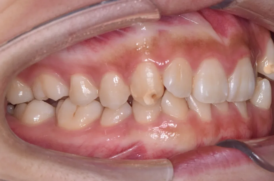
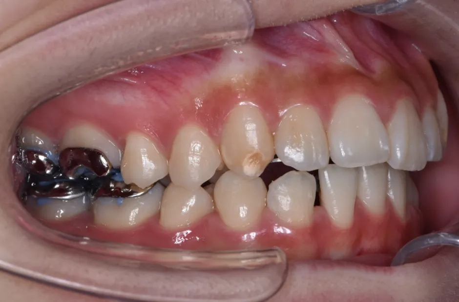
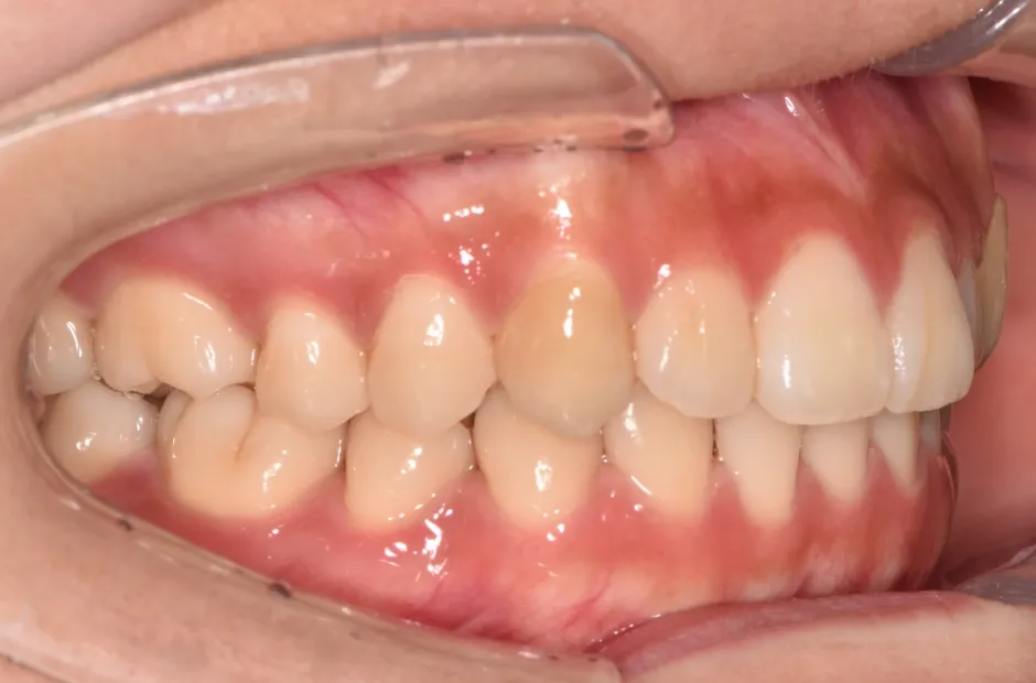
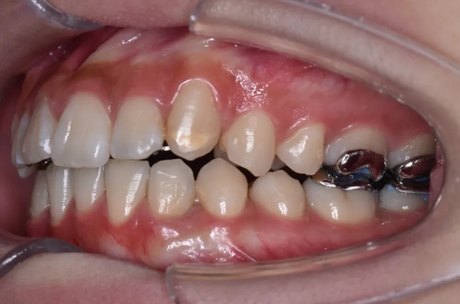
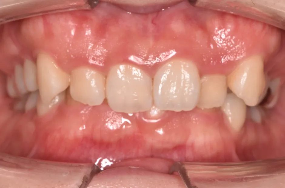
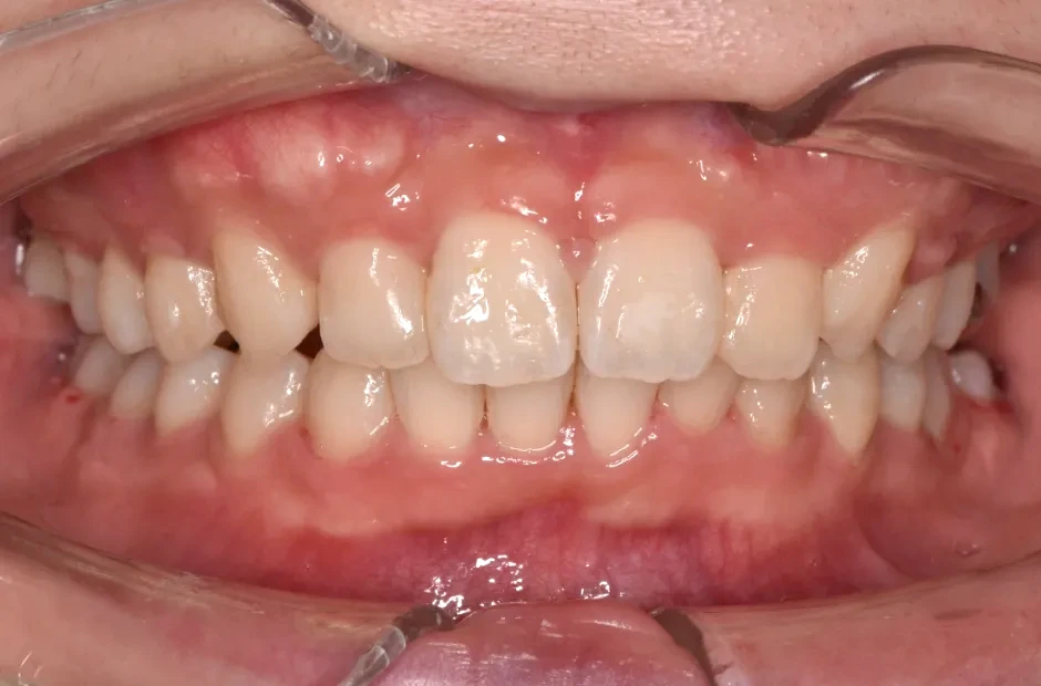
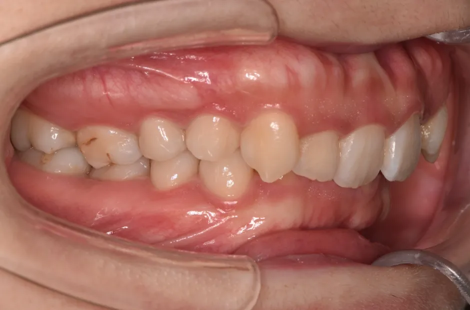
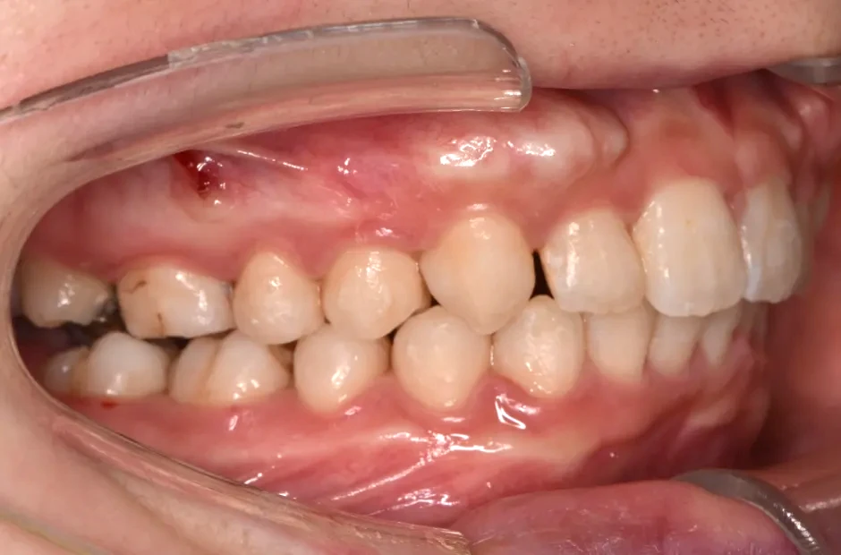
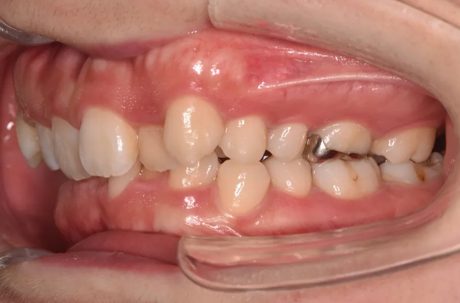
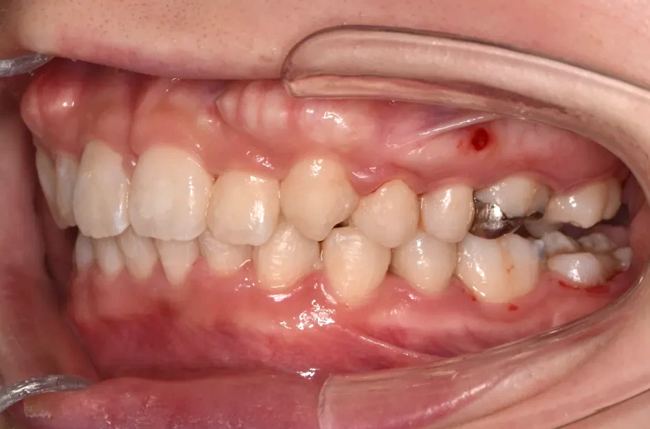
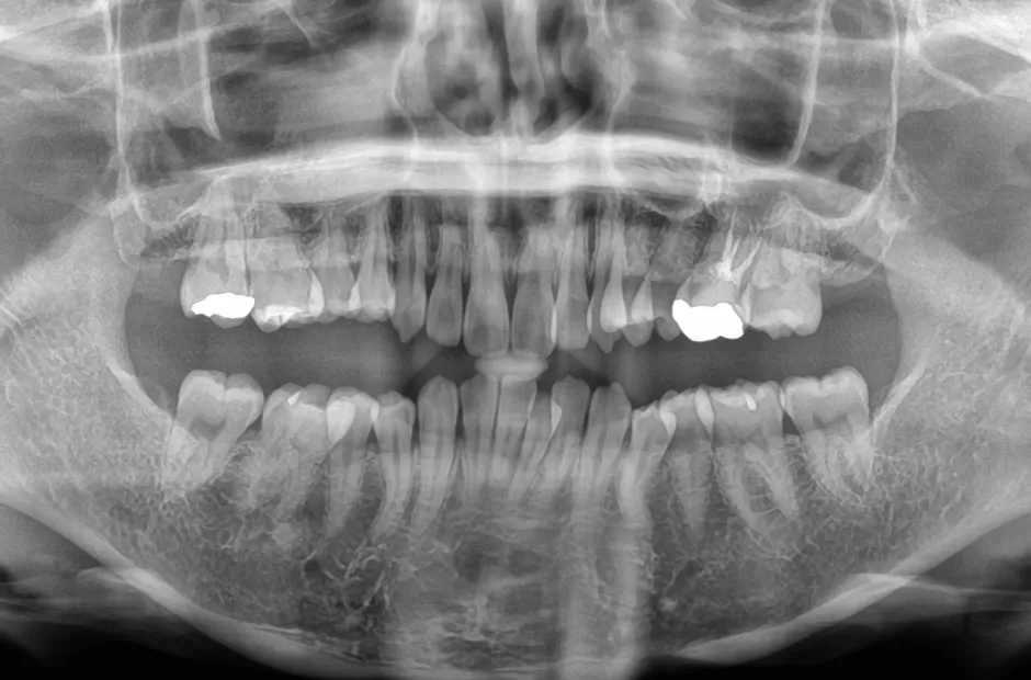
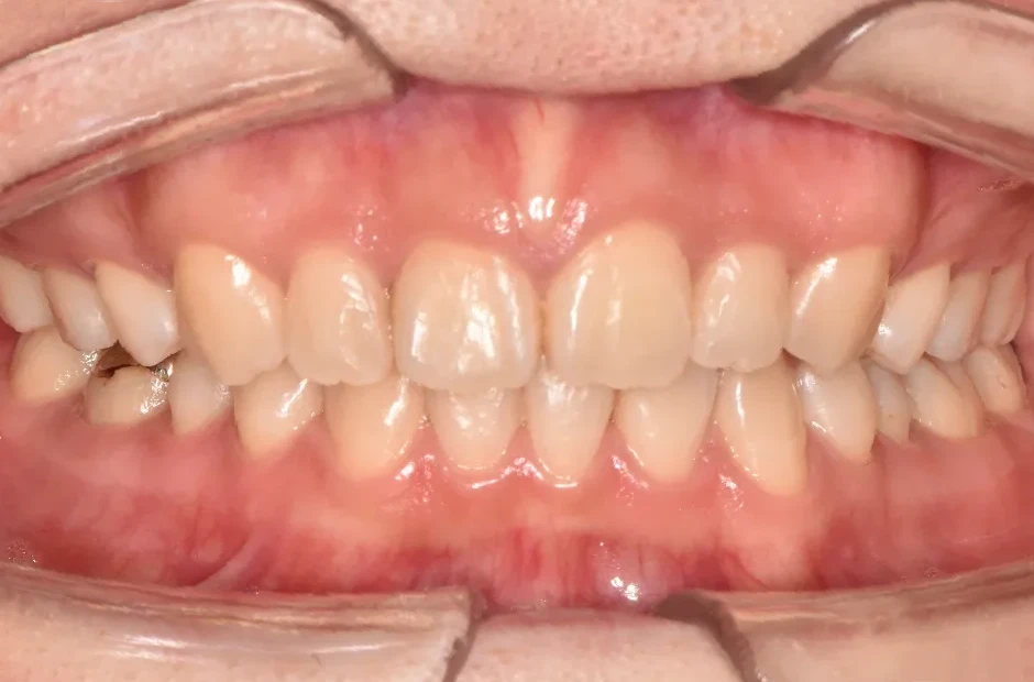
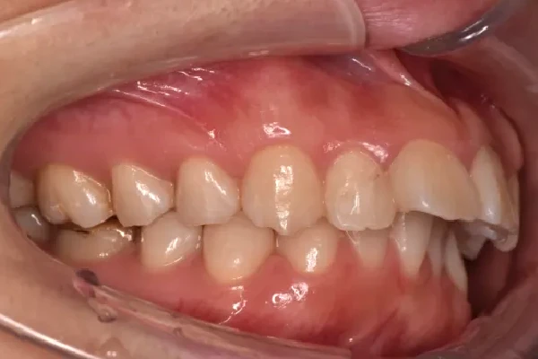
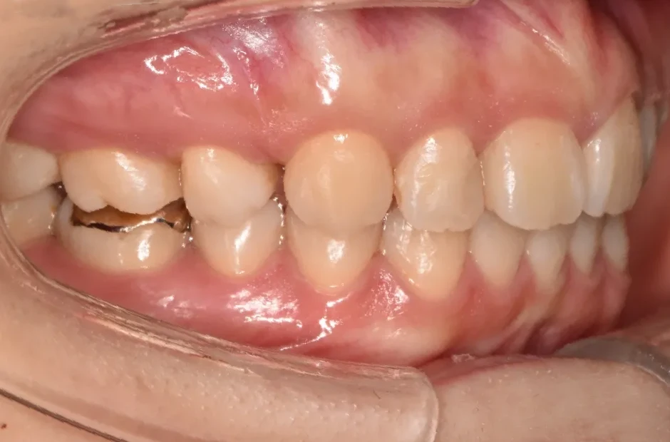
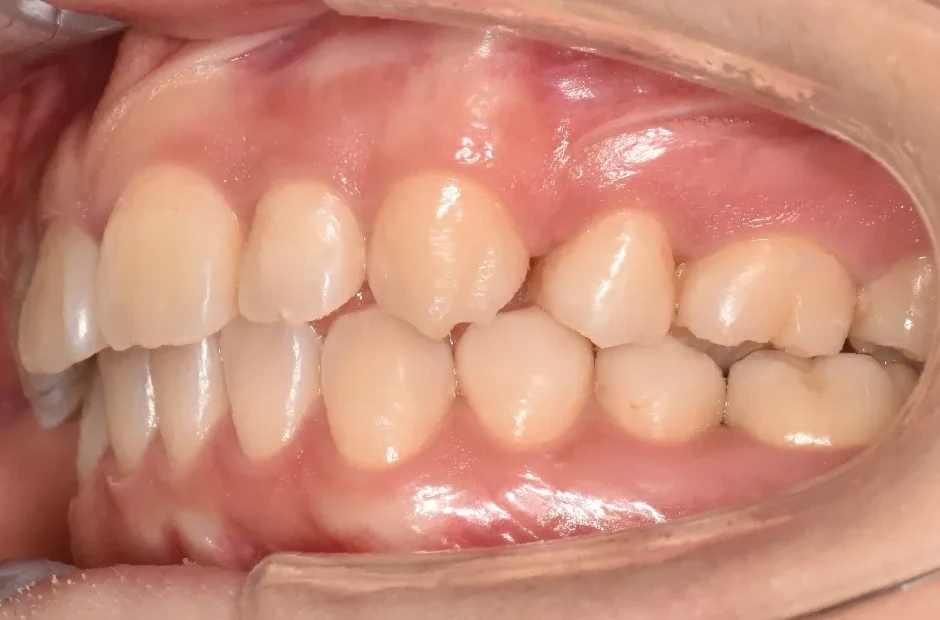
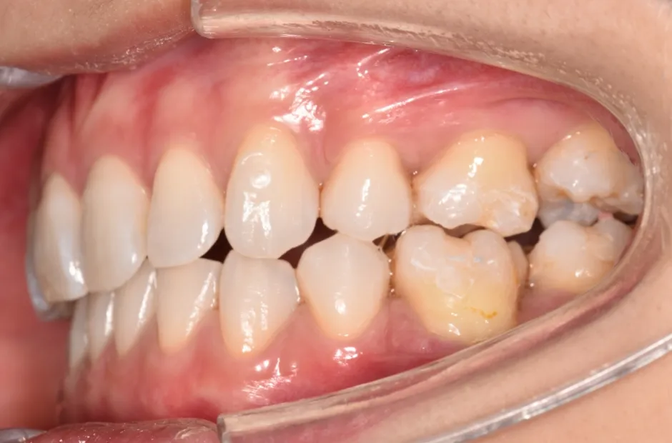
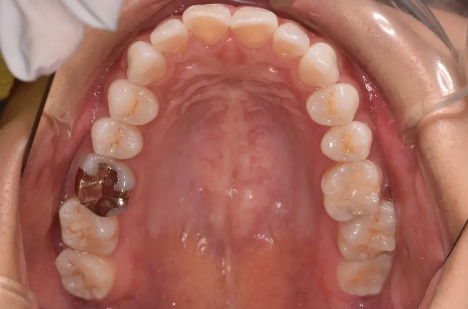
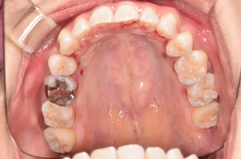
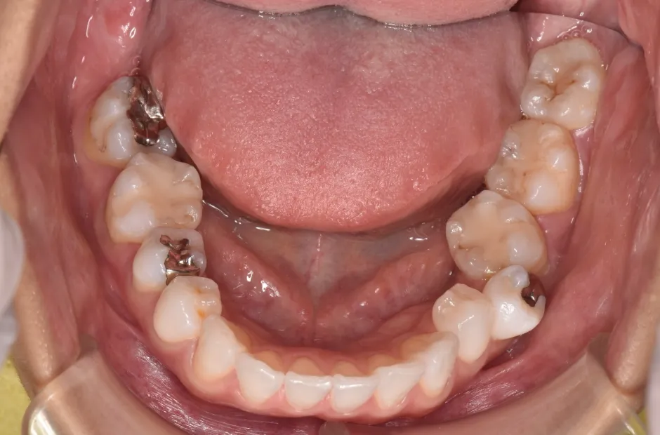
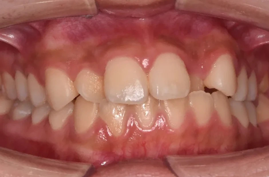
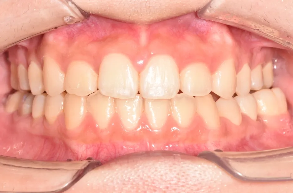
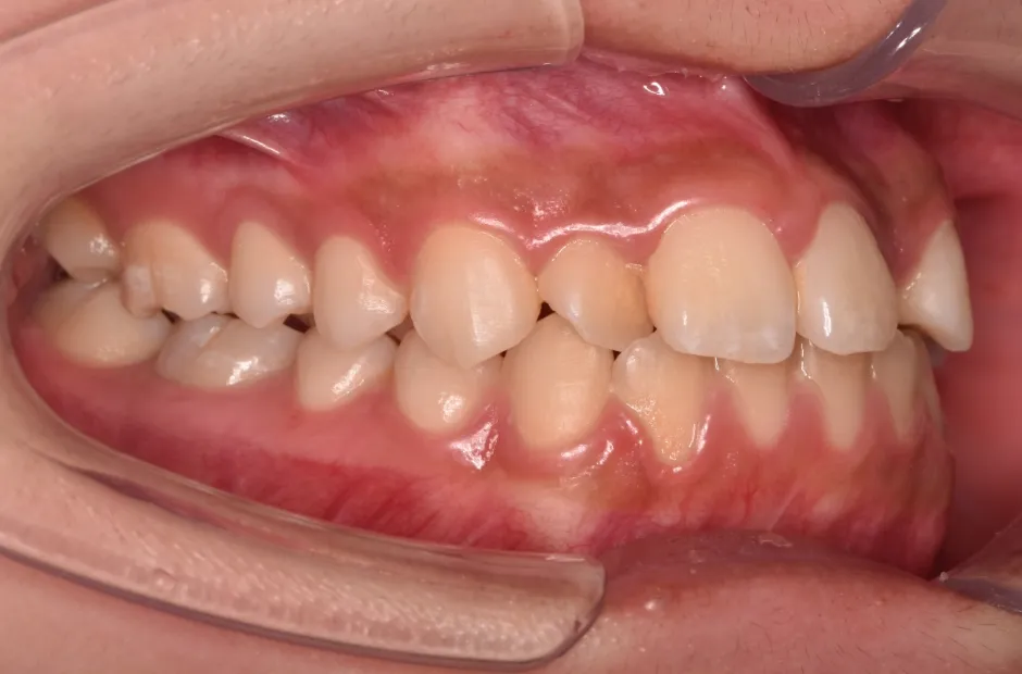
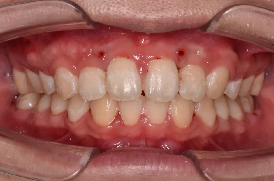
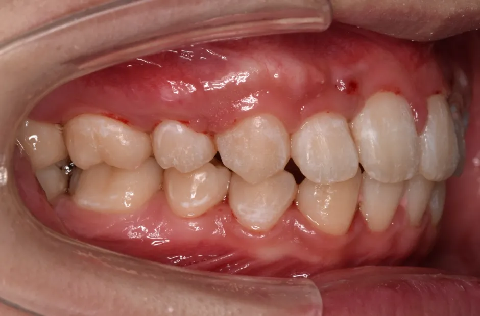
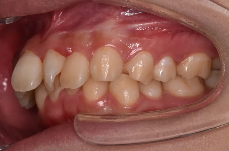
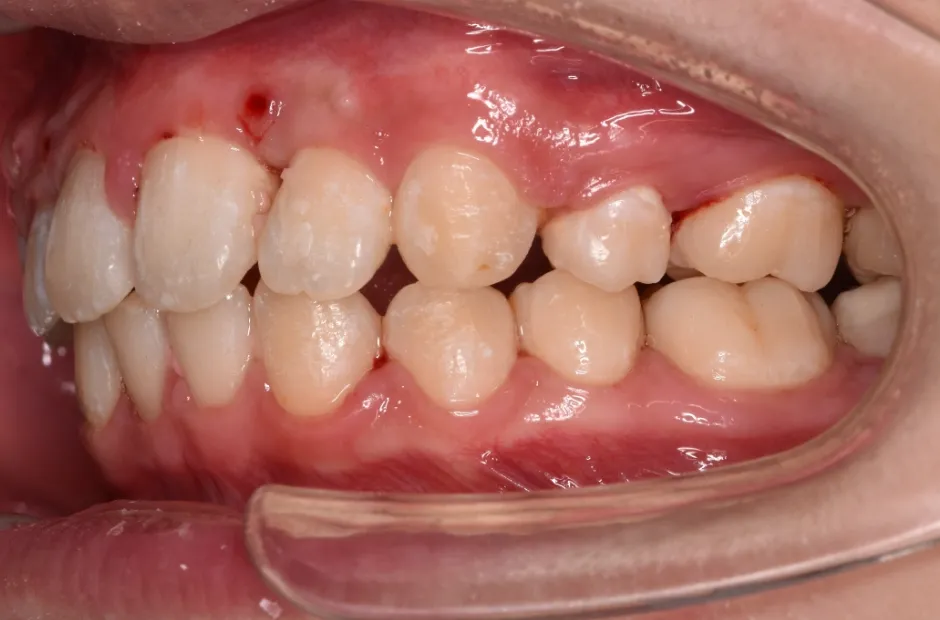
八重歯・でこぼこ・乱ぐい歯
(叢生)

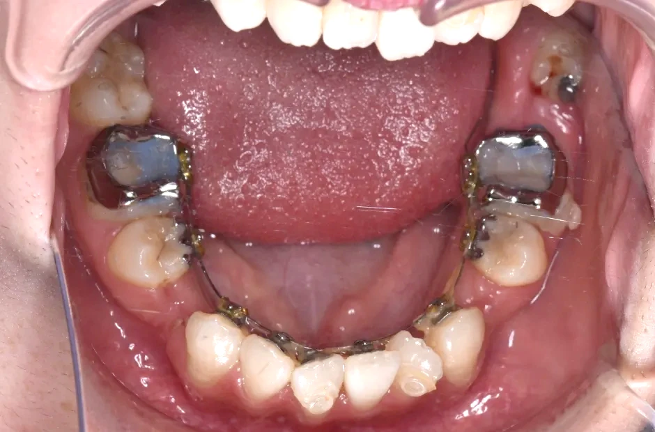
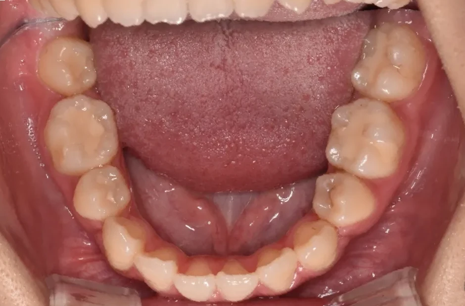
歯が並ぶスペースが足りないために、歯が重なったり前後にずれて生えていたりする状態です。犬歯(八重歯)など目立つ部分の歯列が乱れている場合は、口元の印象に悪影響を与えます。原因としては、遺伝や乳歯の早期抜歯、顎の成長不足などがあげられます。歯磨きが不十分になりやすく、虫歯や歯周病のリスクが高まりやすい不正咬合です。矯正治療を受けると、見た目がよくなるだけでなく清掃性が高まり、お口の健康を維持しやすくなります。
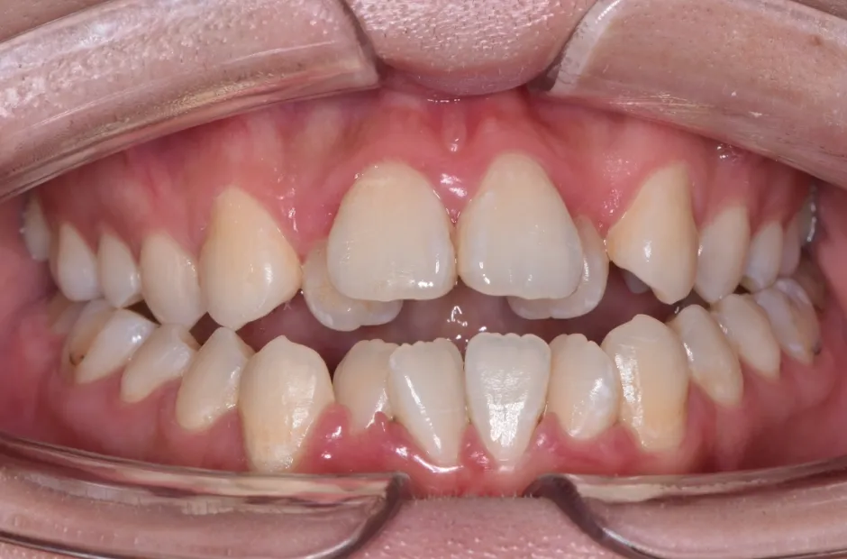
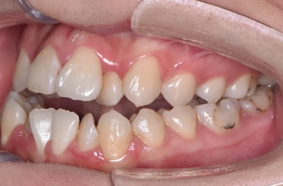
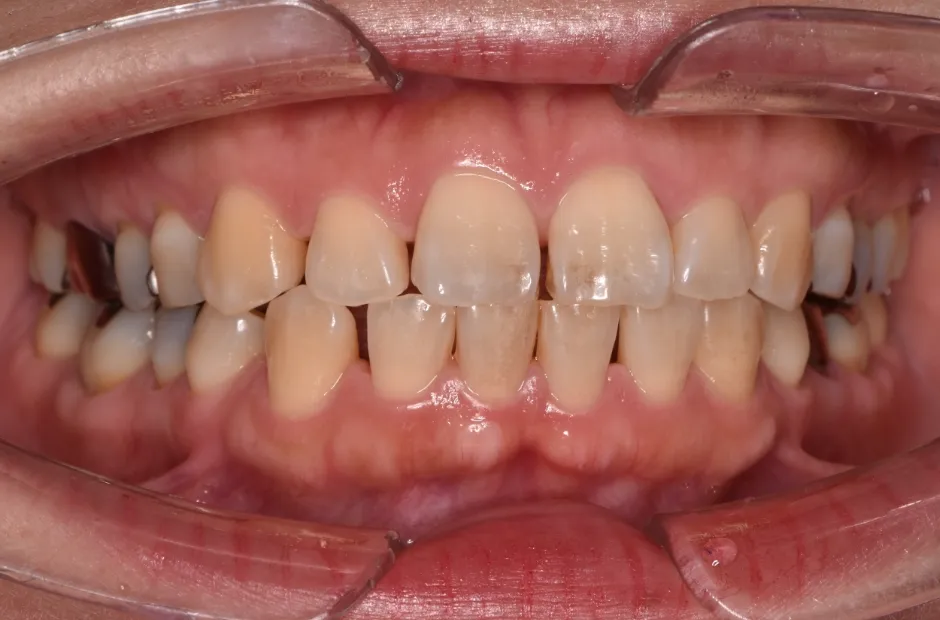
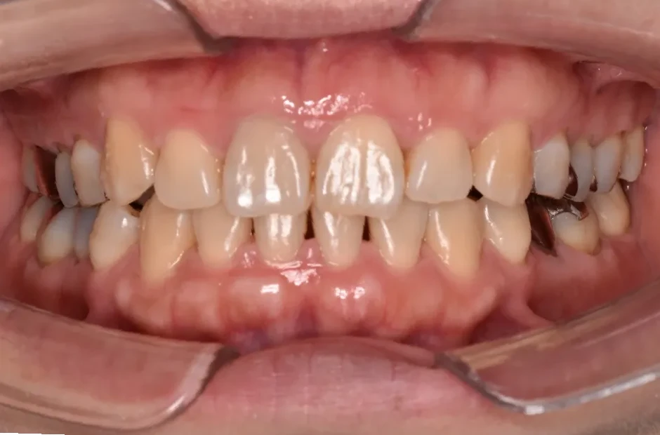
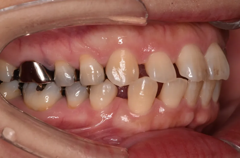
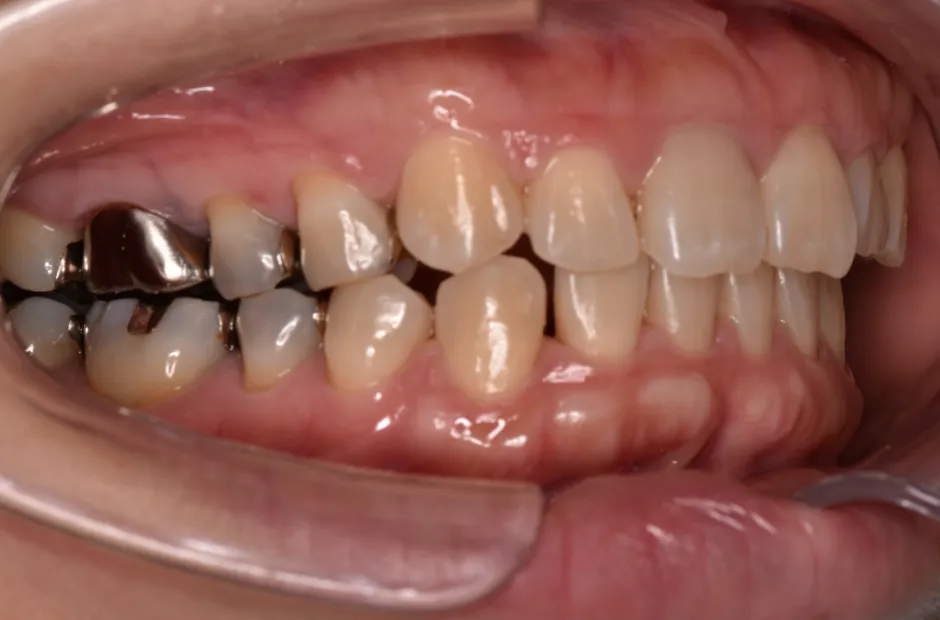
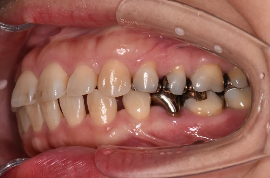
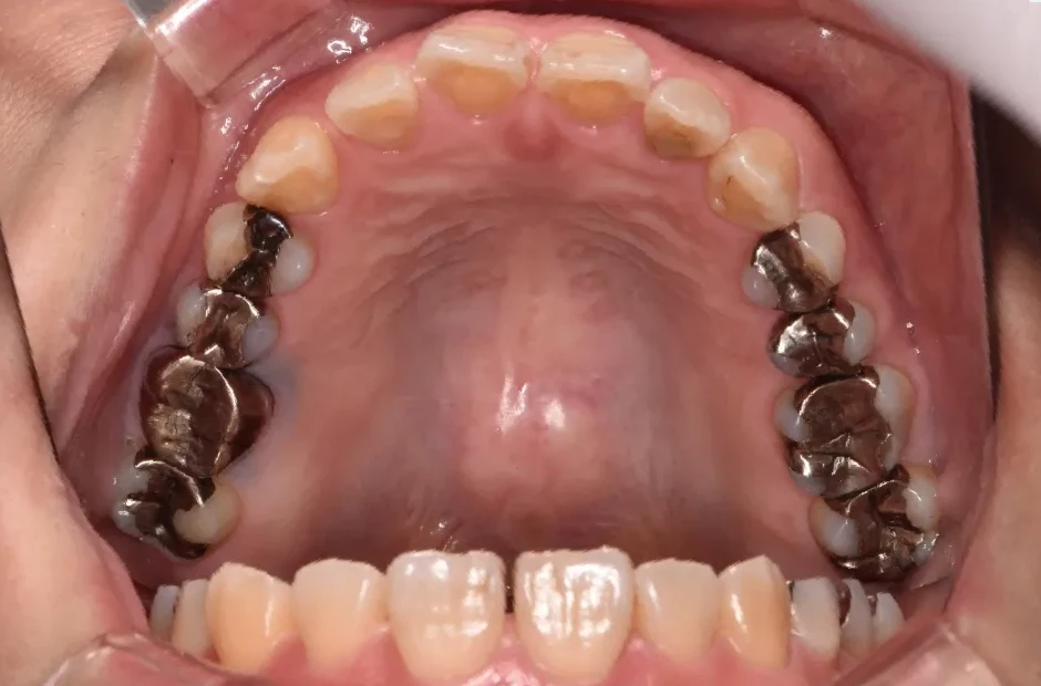
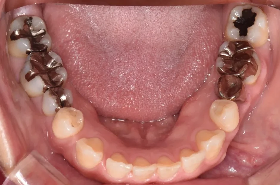
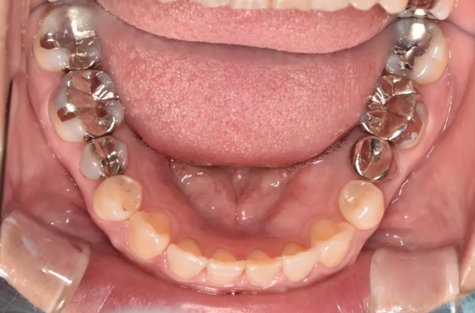
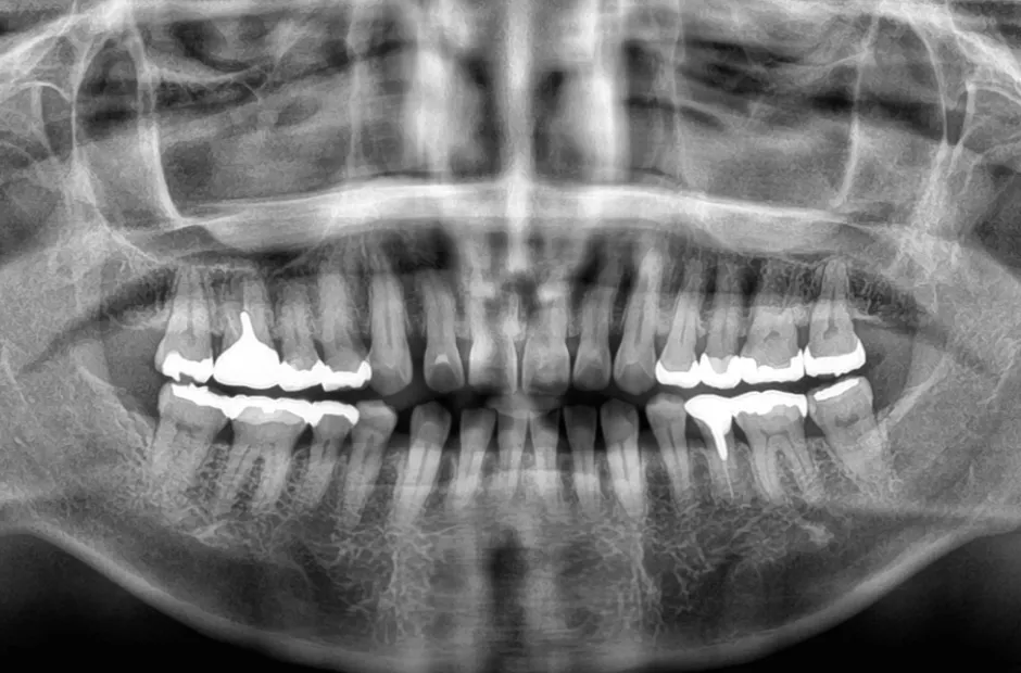
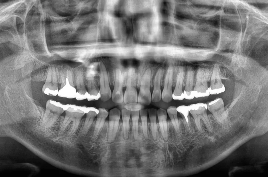
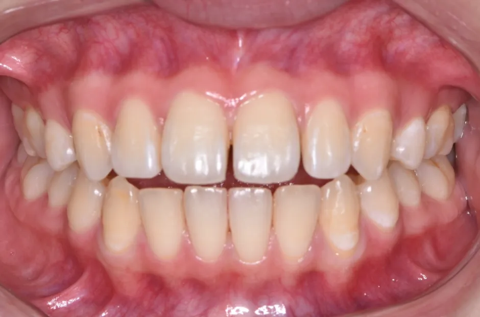
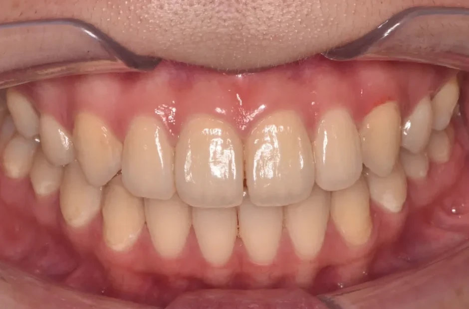
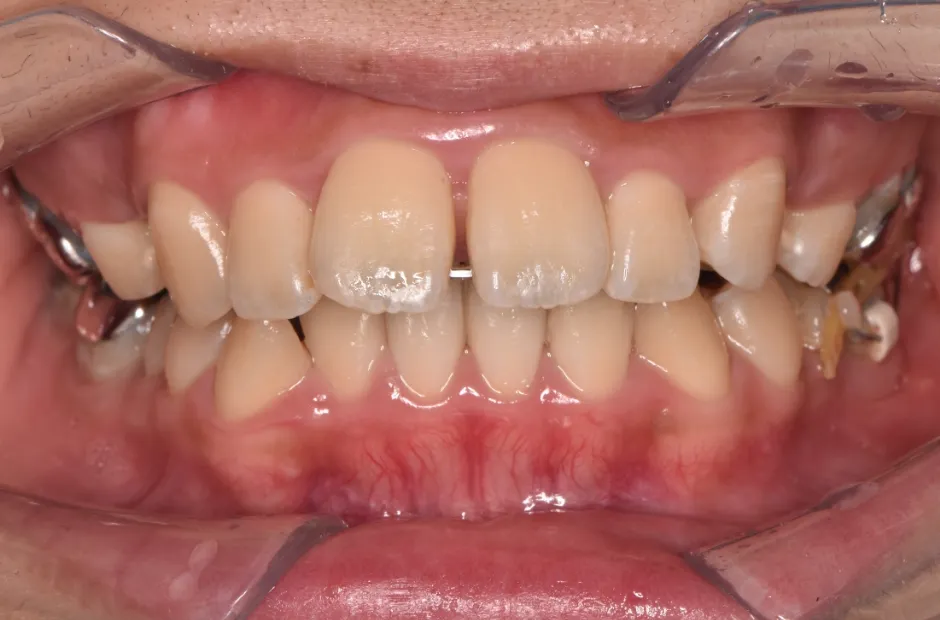
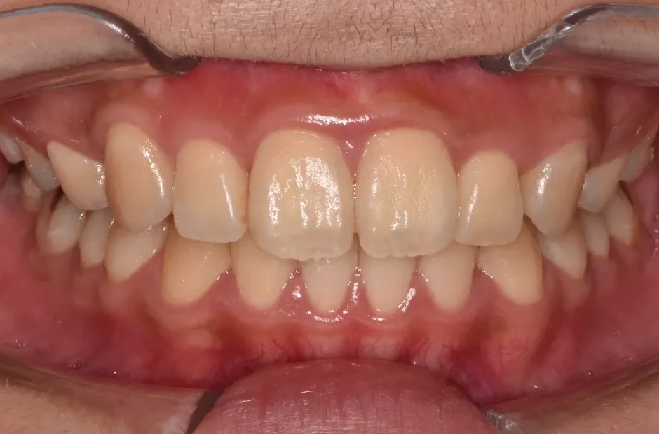
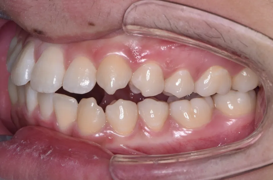
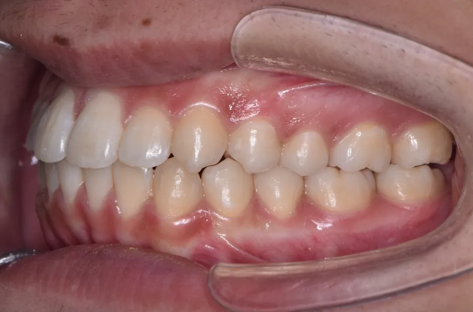
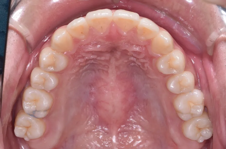
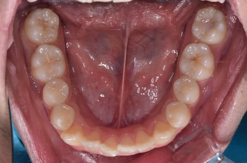
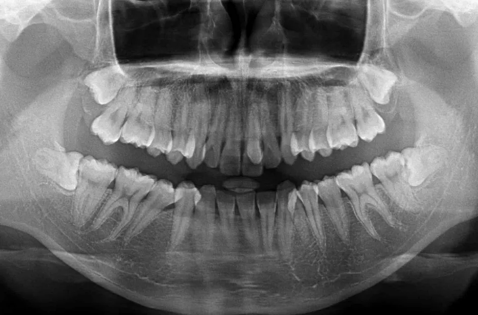
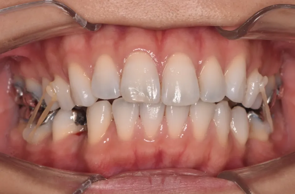
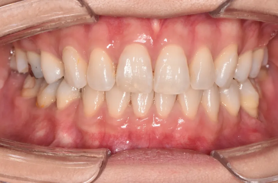
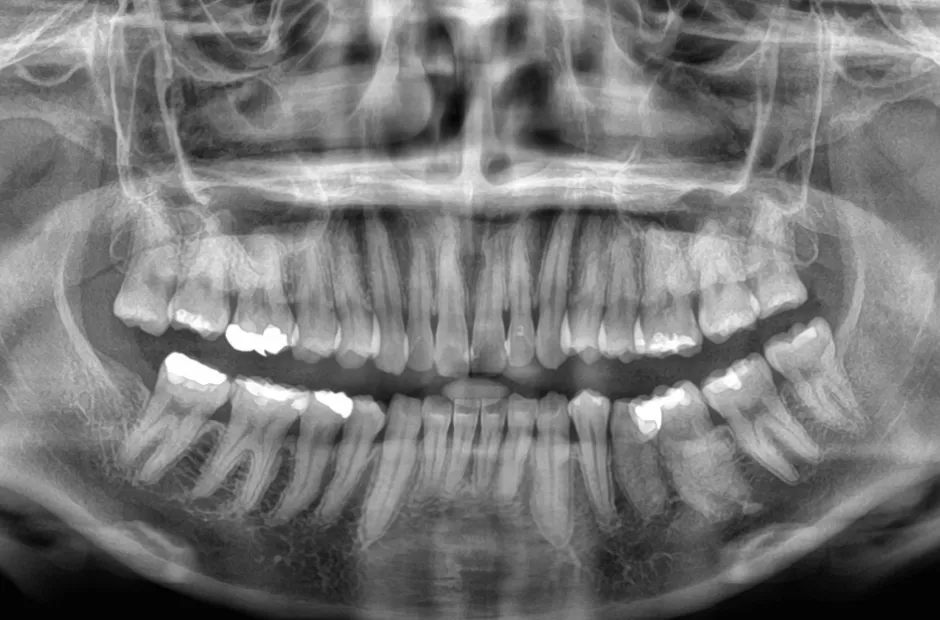
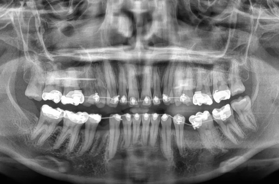
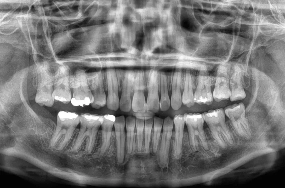
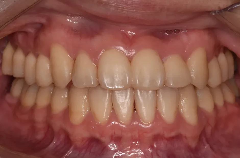
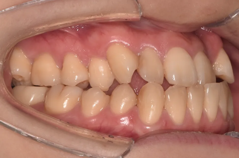
反対咬合
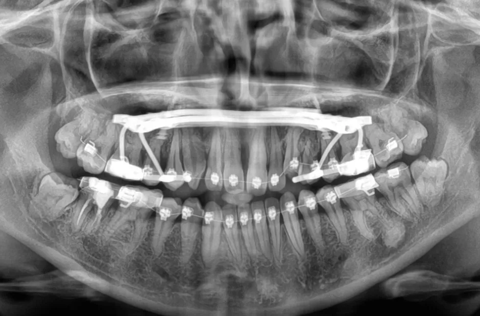
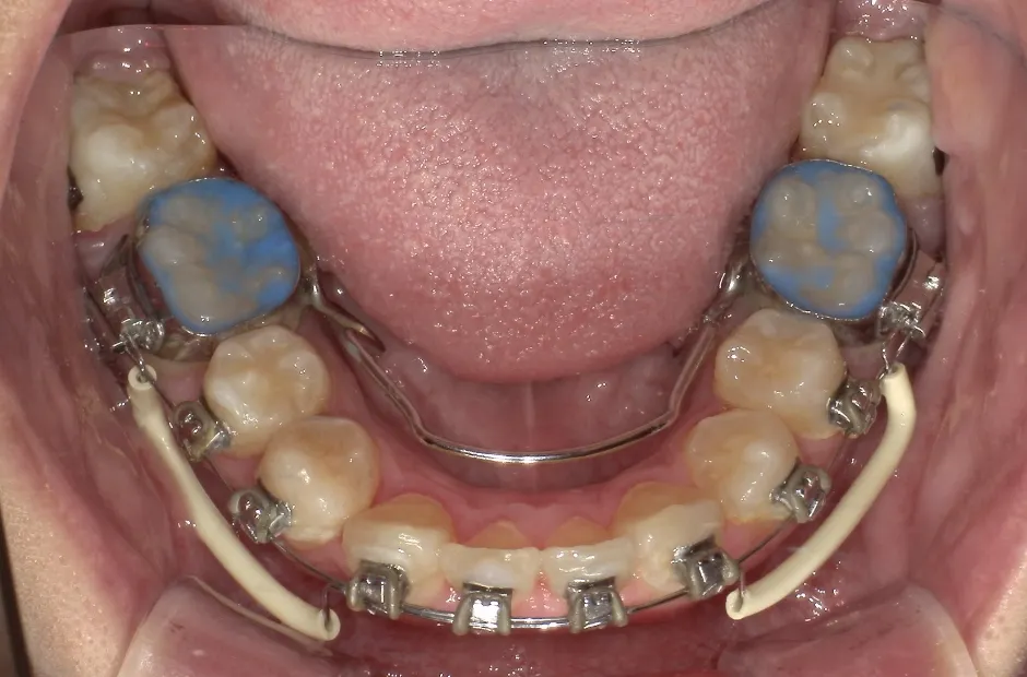
| 診断名・主訴 | 下顎前突、叢生 |
|---|---|
| 年齢・性別 | 23歳・女性 |
| 治療期間・回数 | 3年 |
| 治療に用いた主な装置 | 上顎5,5 下顎4,4 |
| 抜歯部位 | 舌側矯正 |
| 治療費 | 100万円(税抜) |
| リスク・副作用 | 装置による違和感・疼痛・歯肉退縮・歯根吸収・虫歯のリスクなど |
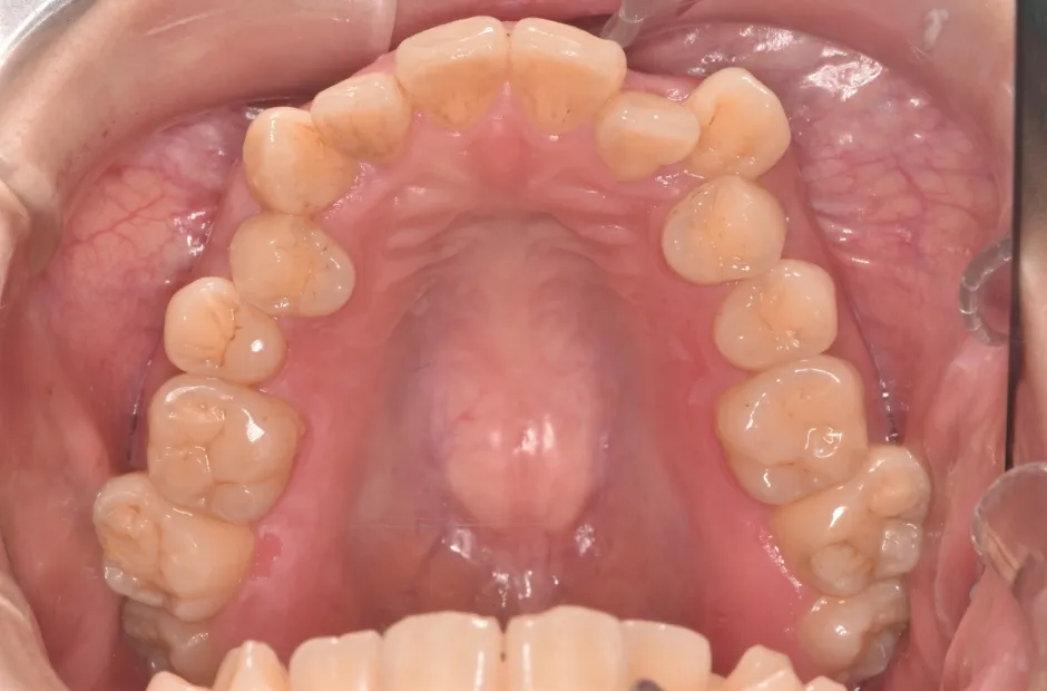
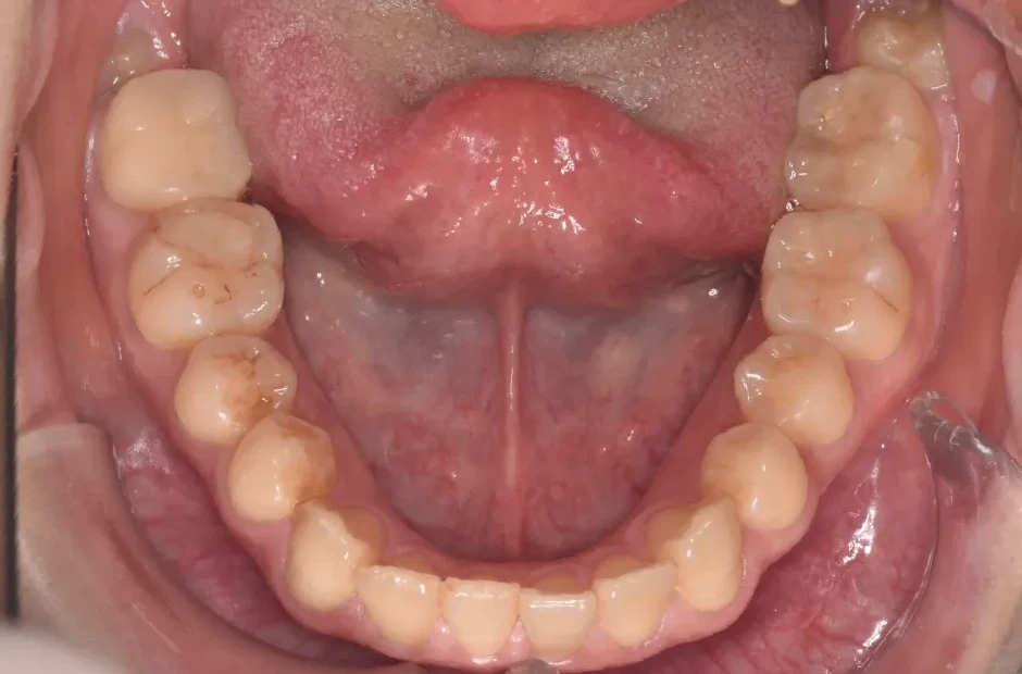
治療前

治療中

治療後

治療前

治療中

治療後

治療前

治療中

治療後

治療前

治療中

治療後

治療前

治療中

治療後

治療前

治療後

治療前

治療後

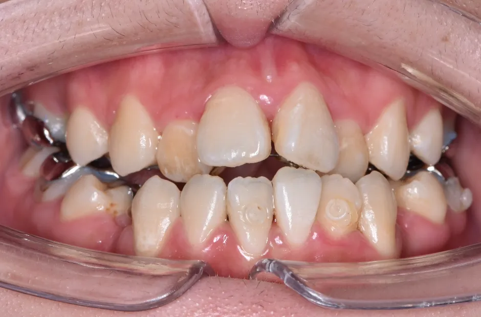
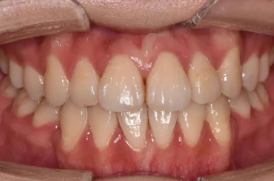
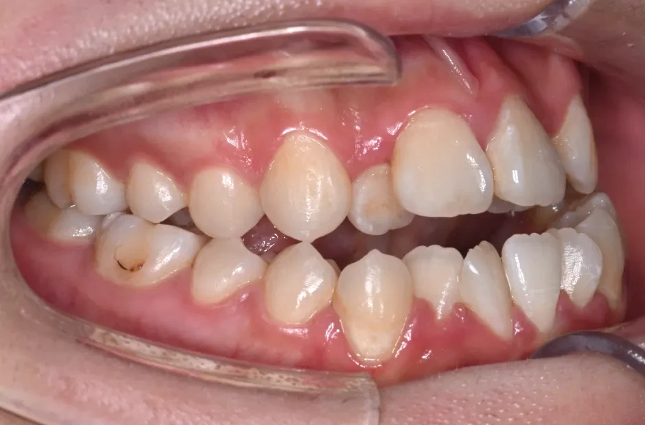
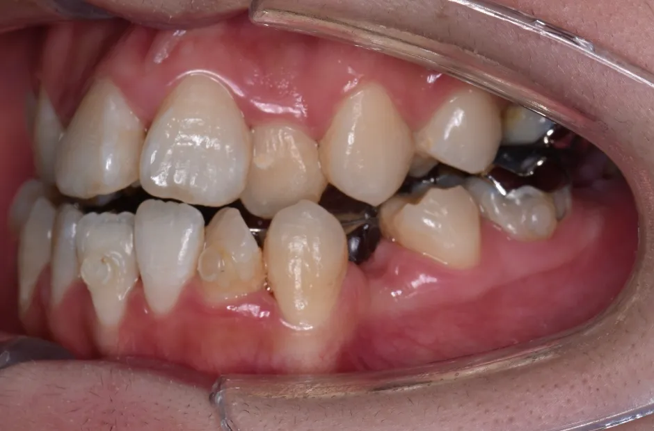
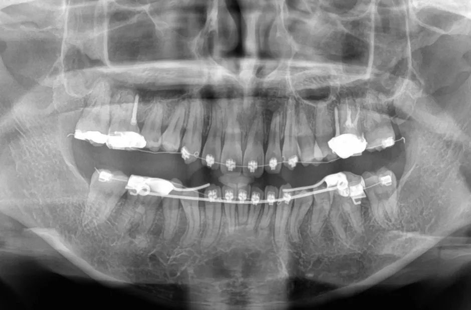
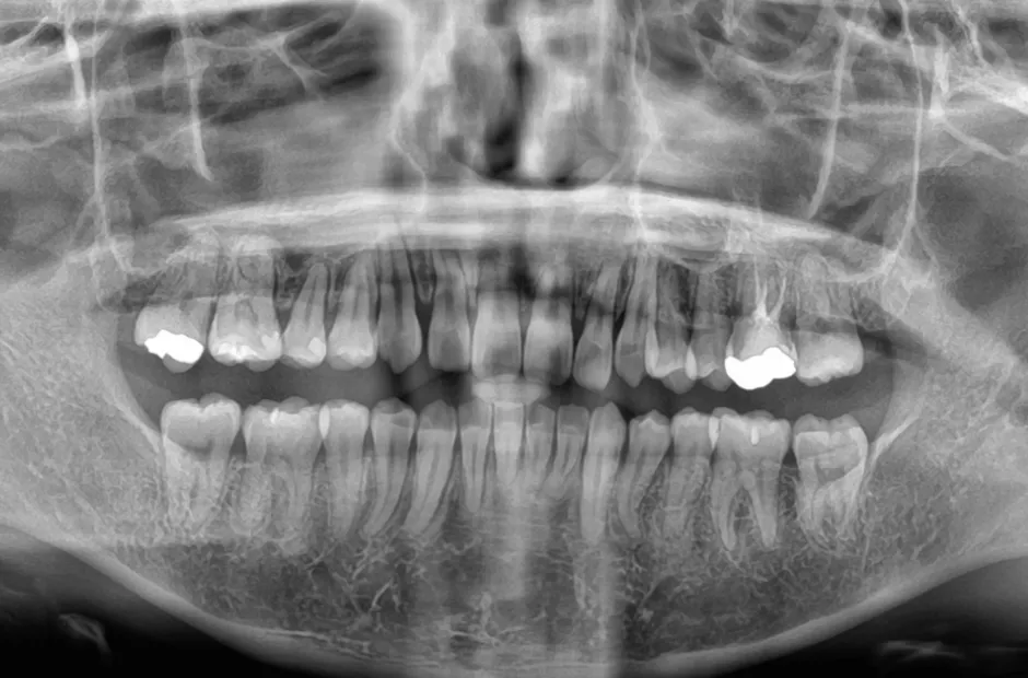
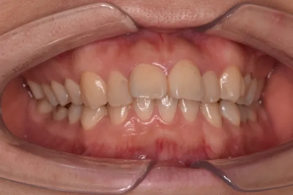
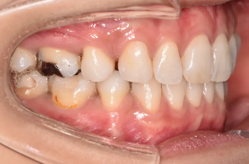
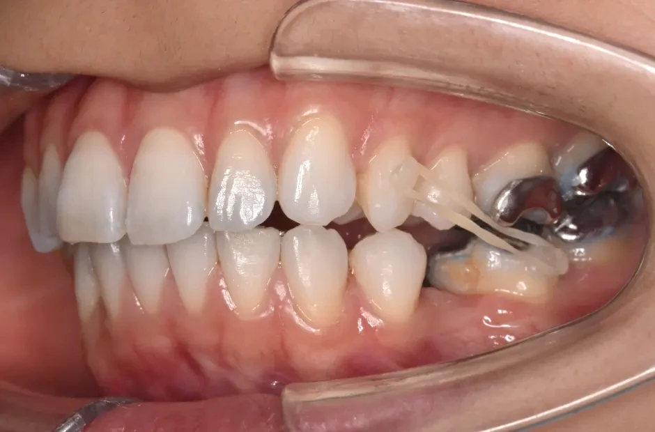
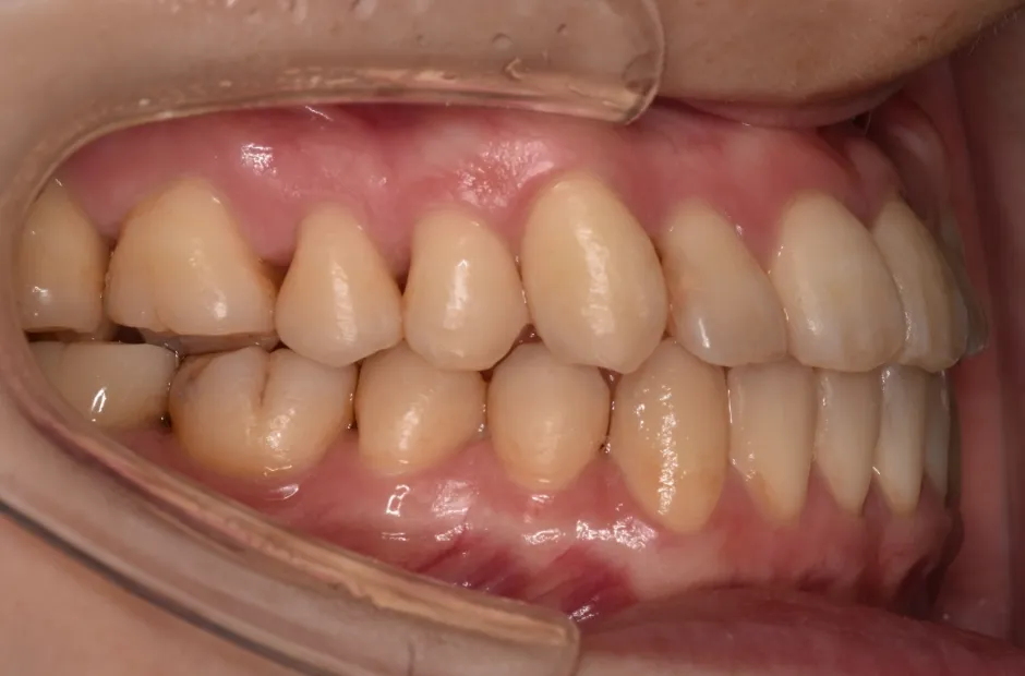
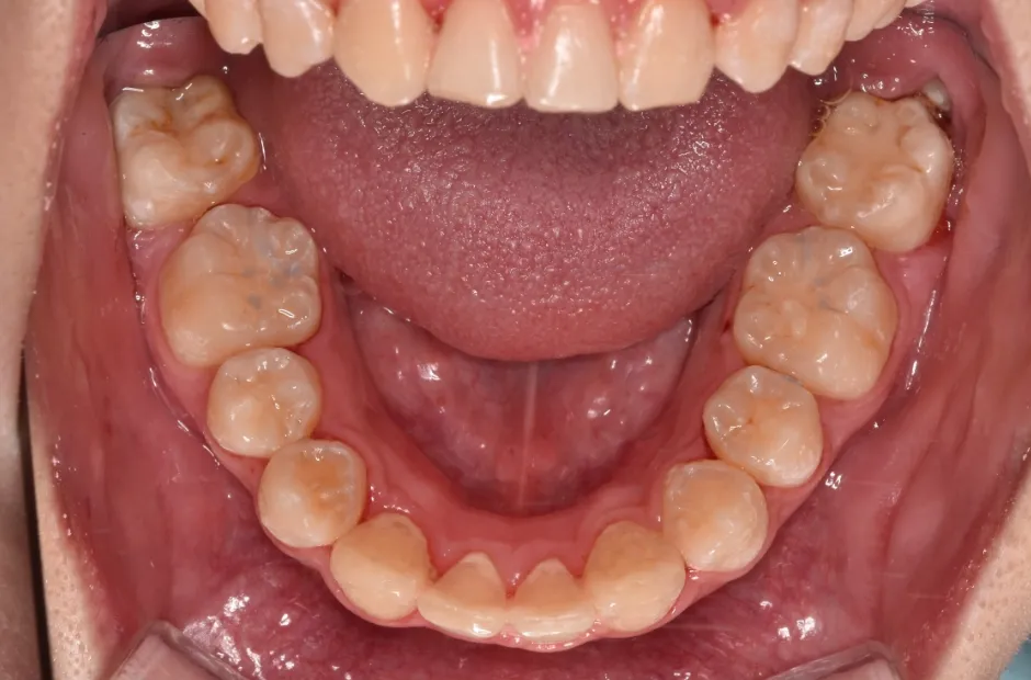
叢生
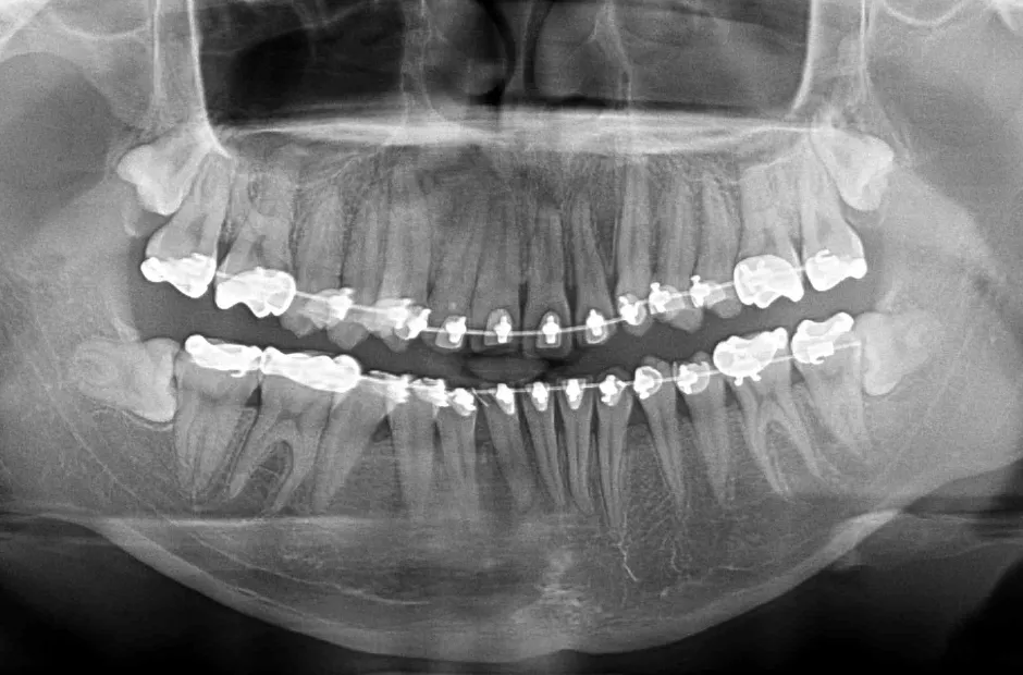
| 診断名・主訴 | 叢生 |
|---|---|
| 年齢・性別 | 43歳・女性 |
| 治療期間・回数 | 2年7か月 27回 |
| 治療に用いた主な装置 | 舌側矯正 |
| 抜歯部位 | 両顎4,4 |
| 治療費 | 100万円(税抜) |
| リスク・副作用 | 装置による違和感・疼痛・歯肉退縮・歯根吸収・虫歯のリスクなど |
治療前

治療中

治療後

治療前

治療中

治療後

治療前

治療中

治療後

治療前

治療中

治療後

治療前

治療中

治療後

治療前

治療中

治療後

治療前

治療後

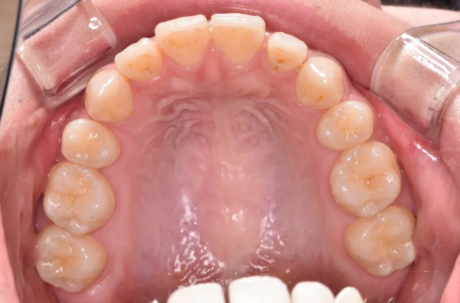
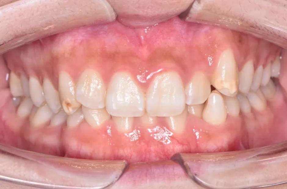
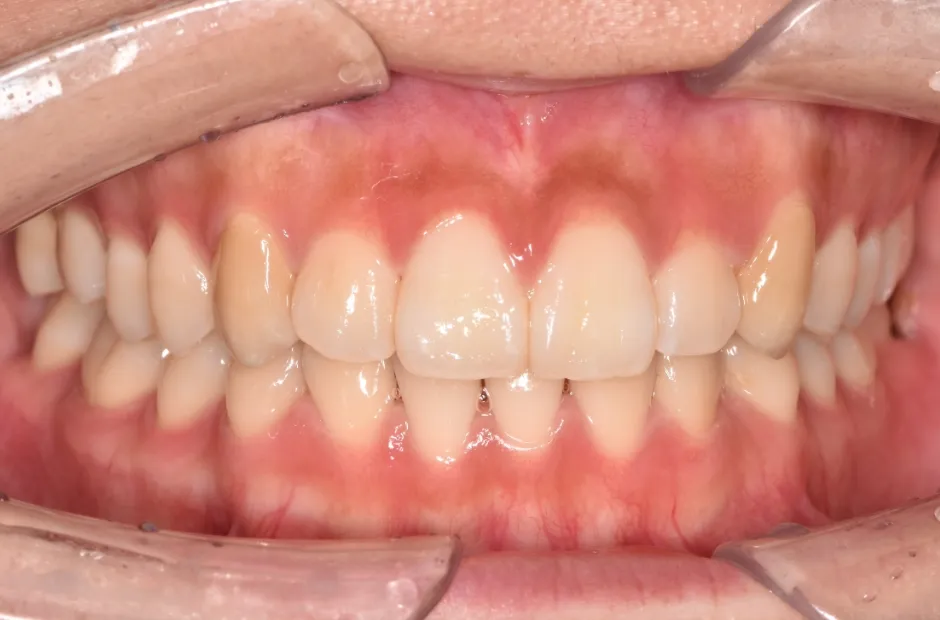
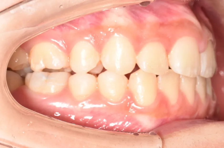
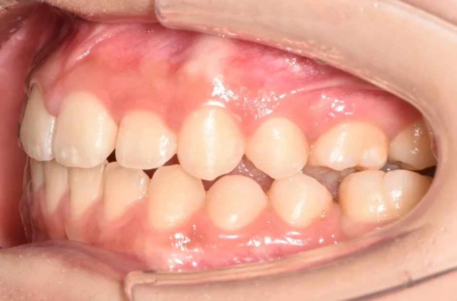
すきっ歯(空隙歯列)

歯と歯の間にすき間が空いている状態です。これは遺伝的要因や成長過程、歯の大きさと顎の大きさのバランスの乱れなどが原因で起こります。見た目に影響を与えることが多いですが、問題はそれだけではありません。歯のすき間に食べ物が歯に挟まりやすく、歯磨きがしにくいため、虫歯や歯周病のリスクが高まってしまいます。矯正治療で歯のすき間がなくなると、外見に対する不安と虫歯や歯周病のリスクを減らすことができます。
空隙歯列・すきっ歯
| 診断名・主訴 | 空隙歯列・すきっ歯 |
|---|---|
| 年齢・性別 | 49歳・女性 |
| 治療期間・回数 | 1年半 |
| 治療に用いた主な装置 | アクアシステム |
| 抜歯部位 | なし |
| 治療費 | 60万円(税抜) |
| リスク・副作用 | 装置による違和感・疼痛・歯肉退縮・歯根吸収・虫歯のリスクなど |
治療前

治療後

治療前

治療後

治療前

治療後

治療前

治療後

治療前

治療後

治療前

治療後

治療前

治療後

すきっ歯
| 診断名・主訴 | すきっ歯 |
|---|---|
| 年齢・性別 | 22歳・女性 |
| 治療期間・回数 | 2年半 30回 |
| 治療に用いた主な装置 | アンカー |
| 抜歯部位 | なし |
| 治療費 | 100万円(税抜) |
| リスク・副作用 | 装置による違和感・疼痛・歯肉退縮・歯根吸収・虫歯のリスクなど |
治療前

治療中

治療後

治療前

治療中

治療後

治療前

治療中

治療後

治療前

治療中

治療後

治療前

治療中

治療後

治療前

治療後

治療前

治療後

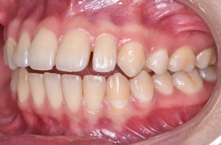
出っ歯・口ゴボ(上顎前突)

上顎の歯が前方に突出している状態です。出っ歯や口ゴボとよばれる日本人に多く見られる不正咬合で、原因には遺伝的な要素や、幼少期の悪習慣(指しゃぶりや口呼吸)が関係することがあります。放置すると、見た目の問題だけでなく、噛み合わせのずれや歯の摩耗、発音の不良なども起こりやすくなります。上顎前突を矯正治療で改善すると、特に横顔の鼻から顎のバランス(Eライン)が整うため、横顔美人になることが期待できます。
上顎前突、叢生
| 診断名・主訴 | 上顎前突、叢生 |
|---|---|
| 年齢・性別 | 26歳・女性 |
| 治療期間・回数 | 2年 |
| 治療に用いた主な装置 | 舌側ブラケット |
| 抜歯部位 | 上顎4,4 |
| 治療費 | 100万円(税抜) |
| リスク・副作用 | 装置による違和感・疼痛・歯肉退縮・歯根吸収・虫歯のリスクなど |
治療前

治療中

治療後

治療前

治療中

治療後

治療前

治療中

治療後

治療前

治療中

治療後

治療前

治療中

治療後

治療前

治療中

治療後

治療前

治療後

受け口(反対咬合・下顎前突)

下顎の歯が上顎の歯より前に突き出ている状態です。通常は上顎の前歯が下顎の前歯に少しだけ覆い被さる形になりますが、それが逆になっています。横顔のラインが崩れるだけでなく、食事や発音に支障をきたしやすくなります。特にお子様の場合は成長とともに状態が悪くなることが多いため、早期改善が重要です。矯正治療で上下の顎のバランスが整うと、顔全体のバランスも整い、食事や発音の問題も改善されます。
受け口
| 診断名・主訴 | 反対咬合 |
|---|---|
| 年齢・性別 | 42歳・男性 |
| 治療期間・回数 | 2年 16回 |
| 治療に用いた主な装置 | シュアスマイル |
| 抜歯部位 | なし |
| 治療費 | 80万円(税抜) |
| リスク・副作用 | 装置による違和感・疼痛・歯肉退縮・歯根吸収・虫歯のリスクなど |
治療前

治療後

治療前

治療後

治療前

治療後

治療前

治療後

治療前

治療後

治療前

治療後

治療前

治療後

前歯が噛まない
(開咬・オープンバイト)

歯を噛み合わせたときに上下の前歯の間にすき間ができる状態です。見た目に違和感があるだけでなく、前歯で食べ物を噛み切ることが難しく、胃腸に負担がかかります。また、顎や歯への負担も大きく、顎関節症を引き起こすこともあります。矯正治療によって前歯が正常に噛み合うようになると、口元の印象がよくなるうえに食事もしやすくなります。また、噛む力が均等に分散されるため、歯や顎への負担も軽減されます。
開咬
| 診断名・主訴 | 開咬 |
|---|---|
| 年齢・性別 | 18歳・男性 |
| 治療期間・回数 | 1年 12回 |
| 治療に用いた主な装置 | ロール付きリンガルアーチ |
| 抜歯部位 | なし |
| 治療費 | 70万円(税抜) |
| リスク・副作用 | 装置による違和感・疼痛・歯肉退縮・歯根吸収・虫歯のリスクなど |
治療前

治療中

治療後

治療前

治療中

治療後

治療前

治療中

治療後

治療前

治療中

治療後

治療前

治療中

治療後

治療前

治療中

治療後

治療前

治療後

ダミーテキスト
| 診断名・主訴 | 開咬 |
|---|---|
| 年齢・性別 | 23歳・女性 |
| 治療期間・回数 | 1年 12回 |
| 治療に用いた主な装置 | クワドヘリックス(QH)+タングガード → ロール付きリンガルアーチ |
| 抜歯部位 | 左右下8番 |
| 治療費 | 70万円(税抜) |
| リスク・副作用 | 装置による違和感・疼痛・歯肉退縮・歯根吸収・虫歯のリスクなど |
治療前

治療後

治療前

治療後

治療前

治療後

治療前

治療後

治療前

治療後

治療前

治療後

治療前

治療後

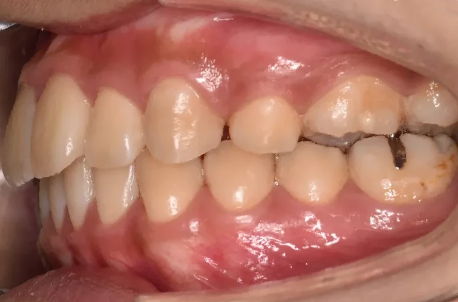
噛み合わせが深い(過蓋咬合)

上顎の前歯が下顎の前歯に対して過度に(2/3以上)覆い被さっている状態です。そのため、下の前歯が正面からほとんど見えません。見た目に不自然さがあるだけでなく、前歯に過度な力がかかり続けることで歯肉が退縮しやすく、知覚過敏や歯周病のリスクが高まります。矯正治療で上下の歯が正しく噛み合うようになると、自然な印象の笑顔を手に入れられ、お口の健康も維持しやすくなります。
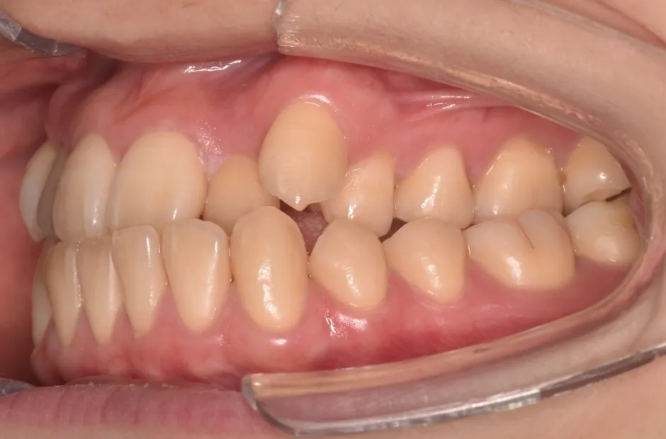
過剰歯
| 診断名・主訴 | でこぼこ |
|---|---|
| 年齢・性別 | 22歳・女性 |
| 治療期間・回数 | 1年6か月 |
| 治療に用いた主な装置 | リンガルブラケット |
| 抜歯部位 | 過剰歯 |
| 治療費 | 100万円(税抜) |
| リスク・副作用 | 装置による違和感・疼痛・歯肉退縮・歯根吸収・虫歯のリスクなど |
治療前

治療中

治療後

治療前

治療中

治療後

治療前

治療中

治療後

治療前

治療中

治療後

治療前

治療中

治療後

治療前

治療中

治療後

治療前

治療後

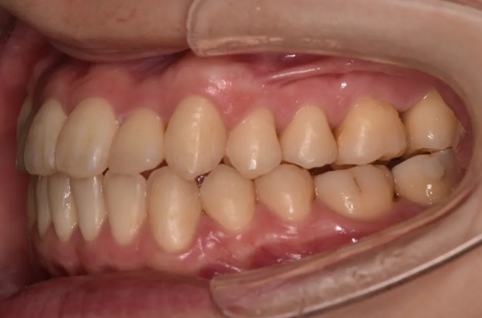
過蓋咬合
| 診断名・主訴 | 過蓋咬合 |
|---|---|
| 年齢・性別 | 29歳・女性 |
| 治療期間・回数 | 2年 |
| 治療に用いた主な装置 | ブラケット矯正 |
| 抜歯部位 | なし |
| 治療費 | 60万円(税抜) |
| リスク・副作用 | 装置による違和感・疼痛・歯肉退縮・歯根吸収・虫歯のリスクなど |
治療前

治療中

治療後

治療前

治療中

治療後

治療前

治療中

治療後

治療前

治療中

治療後

治療前

治療中

治療後

治療前

治療中

治療後

治療前

治療後

上顎前突
| 診断名・主訴 | 上顎前突 |
|---|---|
| 年齢・性別 | 24歳・女性 |
| 治療期間・回数 | 2年4か月 |
| 治療に用いた主な装置 | ブラケット矯正 |
| 抜歯部位 | 上顎4,4 |
| 治療費 | 60万円(税抜) |
| リスク・副作用 | 装置による違和感・疼痛・歯肉退縮・歯根吸収・虫歯のリスクなど |
治療前

治療中

治療後

治療前

治療中

治療後

治療前

治療中

治療後

治療前

治療中

治療後

治療前

治療中

治療後

治療前

治療中

治療後

治療前

治療後

上顎前突・口ゴボ
| 診断名・主訴 | 上顎前突・口ゴボ |
|---|---|
| 年齢・性別 | 25歳・女性 |
| 治療期間・回数 | 2年5か月 |
| 治療に用いた主な装置 | リンガルブラケット |
| 抜歯部位 | 上顎4,4 下顎4,5 |
| 治療費 | 100万円(税抜) |
| リスク・副作用 | 装置による違和感・疼痛・歯肉退縮・歯根吸収・虫歯のリスクなど |
治療前

治療中

治療後

治療前

治療中

治療後

治療前

治療中

治療後

治療前

治療中

治療後

治療前

治療中

治療後

治療前

治療中

治療後

治療前

治療後

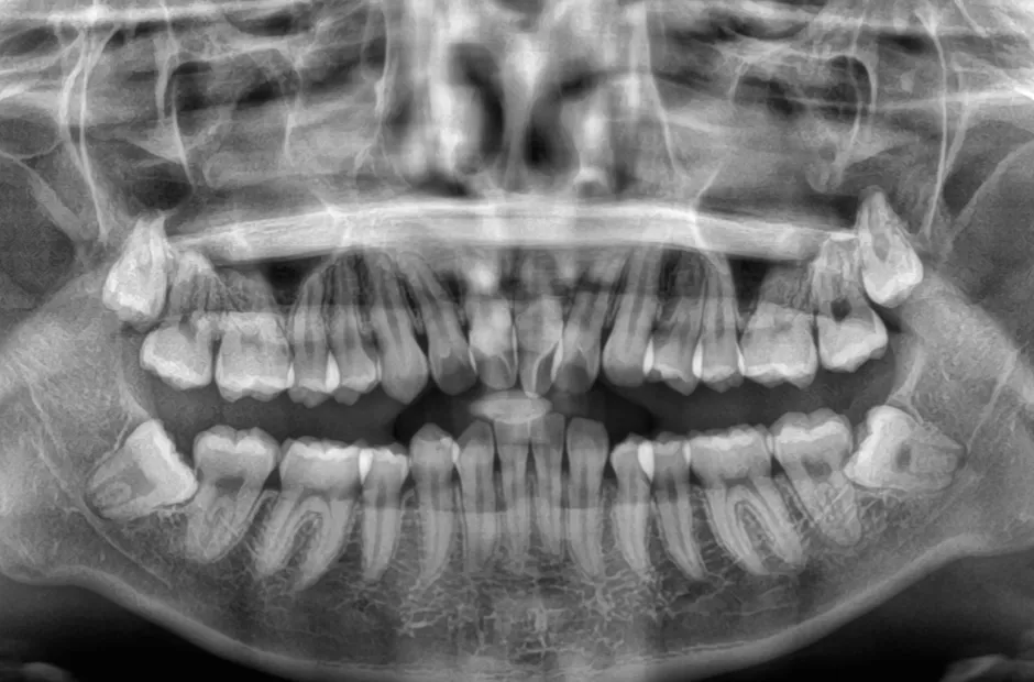
著しい顎の骨のゆがみ
(顎変形症)

骨格の問題により、顎の骨に変形が生じ、極端な出っ歯や受け口、面長で前歯が噛み合わないといった状態になることがあります。このような場合、矯正治療だけでは改善が難しく、上顎や下顎の骨を適切な位置に移動させる手術(あご切り手術)を併用した外科的矯正治療が必要です。なお、この治療では、矯正歯科治療と手術の両方が保険適用となります。
顎変形症
| 診断名・主訴 | 顎変形症 |
|---|---|
| 年齢・性別 | 35歳・女性 |
| 治療期間・回数 | 2年6か月 |
| 治療に用いた主な装置 | ブラケット |
| 抜歯部位 | なし |
| 治療費 | 70万円(税抜) |
| リスク・副作用 | 装置による違和感・疼痛・歯肉退縮・歯根吸収・虫歯のリスクなど |
治療前

治療中

治療後

治療前

治療中

治療後

治療前

治療中

治療後

治療前

治療中

治療後

治療前

治療中

治療後

治療前

治療中

治療後

治療前

治療後

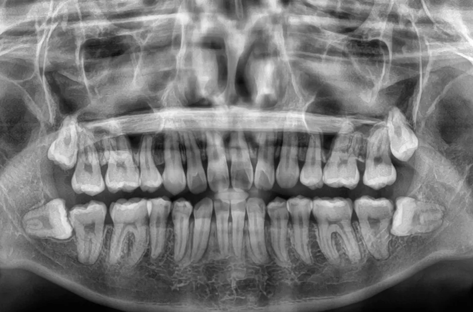
ゆがみ(左右非対称)
| 診断名・主訴 | ゆがみ(左右非対称) |
|---|---|
| 年齢・性別 | 20歳・女性 |
| 治療期間・回数 | 2年半 30回 |
| 治療に用いた主な装置 | 急速拡大 アンカー |
| 抜歯部位 | 左右上5番 |
| 治療費 | 70万円(税抜) |
| リスク・副作用 | 装置による違和感・疼痛・歯肉退縮・歯根吸収・虫歯のリスクなど |
治療前

治療後

治療前

治療後

治療前

治療後

治療前

治療後

治療前

治療後

治療前

治療後

治療前

治療後

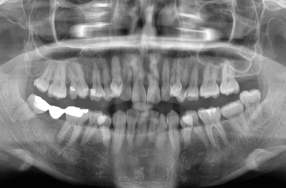
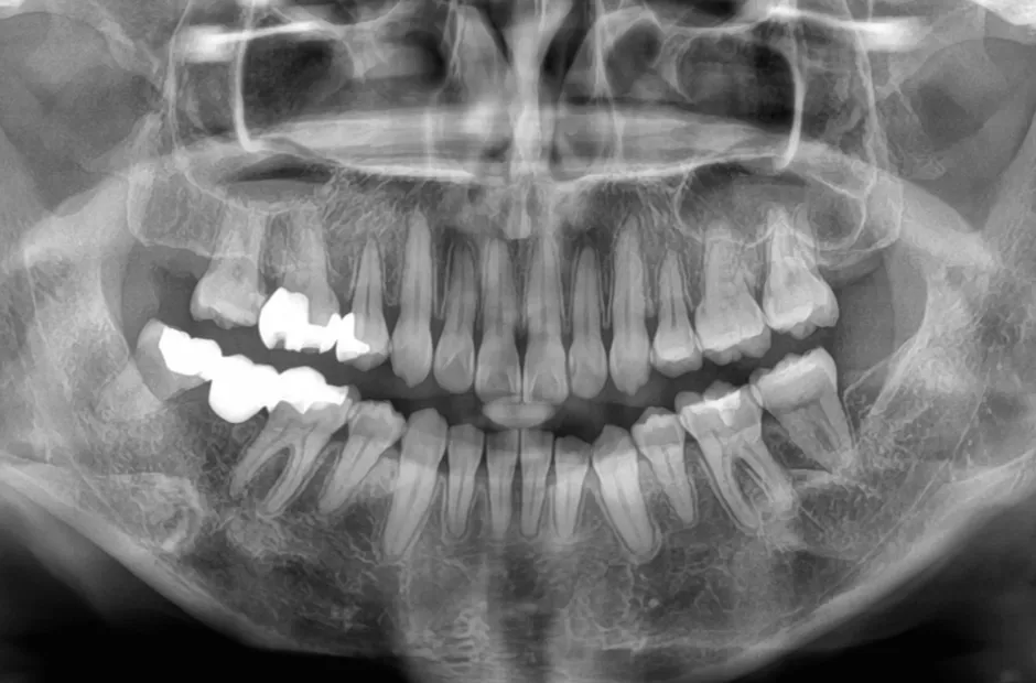
永久歯が生えてこない
(埋伏歯)

永久歯が何らかの原因で正しい方向に生えず、歯肉の中に埋まったままの状態を指します。歯が完全に粘膜の下にある場合を「完全埋伏」、一部が口の中に露出している場合を「不完全埋伏」といいます。この状態を長期間放置すると、隣の永久歯の根が吸収される恐れがあるため、早期の治療が必要です。なお、埋伏歯が3本以上ある場合、矯正歯科治療は保険適用となります。
先天欠如(左右下2番)
| 診断名・主訴 | 過蓋咬合、出っ歯 |
|---|---|
| 年齢・性別 | 20歳・女性 |
| 治療期間・回数 | 2年 24回 |
| 治療に用いた主な装置 | 急速拡大 アンカー 2×4ワイヤー |
| 抜歯部位 | 左右上4番 |
| 治療費 | 70万円(税抜) |
| リスク・副作用 | 装置による違和感・疼痛・歯肉退縮・歯根吸収・虫歯のリスクなど |
治療前

治療中

治療後

治療前

治療中

治療後

治療前

治療中

治療後

治療前

治療中

治療後

治療前

治療中

治療後

治療前

治療中

治療後

治療前

治療後

永久歯の数が少ない
(先天性欠如)

生まれつき永久歯の本数が不足している状態を指します。これにより、歯と歯の間にすき間ができたり、乳歯が抜けずに残ったりすることがあります。矯正歯科治療によってすき間を閉じることで、将来的にブリッジやインプラント、入れ歯を使用しなくて済む場合があります。なお、永久歯が6本以上不足している場合は、矯正歯科治療が保険適用となります。
治療における注意点等
矯正治療にともなう一般的なリスク・副作用
・矯正治療の一般的な治療費は60万~150万円、一般的な治療期間は2~3年、一般的な治療回数は24~36回となります。使用する装置、症状や治療の進行状況などにより変化しますので、参考程度にお考えいただき、詳細は歯科医師にご確認ください。
・機能性や審美性を重視するため、公的健康保険対象外の自費診療となり、保険診療よりも高額になります。
・最初は矯正装置による不快感、痛みなどがあります。数日から1~2週間で慣れることが多いです。
・治療期間は症例により異なりますが、成人矯正や永久歯がすべて生えそろっている場合は、一般的に1年半~3年を要します。小児矯正においては、混合歯列期(乳歯と永久歯が混在する時期)に行なう第1期治療で1~2年、永久歯がすべて生えそろったあとに行なう第2期治療で1~2年半を要することがあります。
・歯の動き方には個人差があるため、治療期間が予想より長期化することがあります。
・装置や顎間ゴムの扱い方、定期的な通院など、矯正治療では患者さまのご協力がたいへん重要であり、それらが治療結果や治療期間に影響します。
・治療中は、装置がついているため歯が磨きにくくなります。虫歯や歯周病のリスクが高まるので、丁寧な歯磨きや定期メンテナンスの受診が大切です。また、歯が動くことで見えなかった虫歯が見えるようになることもあります。
・歯を動かすことにより歯根が吸収され、短くなることがあります。また、歯肉が痩せて下がることがあります。
・ごくまれに、歯が骨と癒着していて歯が動かないことがあります。
・ごくまれに、歯を動かすことで神経に障害を与え、神経が壊死することがあります。
・治療中に金属などのアレルギー症状が出ることがあります。
・治療中に、「顎関節で音が鳴る、顎が痛い、口をあけにくい」などの顎関節症状が出ることがあります。
・問題が生じた場合、当初の治療計画を変更することがあります。
・歯の形状の修正や、噛み合わせの微調整を行なうことがあります。
・矯正装置を誤飲する可能性があります。
・装置を外すときに、エナメル質に微小な亀裂が入る可能性や、補綴物(被せ物など)の一部が破損することがあります。
・装置を外したあと、保定装置を指示どおりに使用しないと後戻りが生じる可能性が高くなります。
・装置を外したあと、現在の噛み合わせに合わせて補綴物(被せ物など)の作製や虫歯治療などをやり直す可能性があります。
・顎の成長発育により、歯並びや噛み合わせが変化する可能性があります。
・治療後に、親知らずの影響で歯並びや噛み合わせが変化する可能性があります。
・加齢や歯周病などにより、歯並びや噛み合わせが変化することがあります。
・矯正治療は、一度始めると元の状態に戻すことが難しくなります。
外科矯正治療にともなう一般的なリスク・副作用
・公的健康保険対象となるのは、自立支援医療(育成医療・更生医療)指定医療機関または顎口腔機能診断施設の指定を受けた医療機関のみとなります。指定を受けていない医療機関での外科矯正治療は、公的健康保険対象外の自費診療となり、保険診療よりも高額になります。
・手術は全身麻酔のもとで行ないます。
・2~3週間程度の入院が必要となり、入院前には検査のために通院していただきます。
・手術後は部分的な麻痺やしびれが出たり、まれに鼻の変形が見られることがあります。
・骨を固定するために頬側からビスを入れてプレートを留める場合、数ミリの切開が必要となることがあります。ただし、ほとんどわからない程度の小さな傷です。
・手術後しばらくは口があまり開かないので、食生活に不都合を感じることがあります。
・手術後半年から1年くらいで、プレート除去手術のため再度1週間程度の入院が必要となることがあります。


















































































































































































































































































