インプラント矯正
Implant

- 横浜元町ナチュラル歯科 矯正歯科 ホーム
- 矯正歯科について
- インプラント矯正
歯科矯正用
アンカースクリューを
用いた
インプラント矯正

インプラント矯正は、顎骨に小さな矯正用アンカースクリュー(インプラント)を埋め込み、それを歯の移動の固定源として利用する治療法です。この方法により、歯を効率的に移動させることができ、治療期間の短縮が図れます。一般的な矯正方法では動かしづらい奥歯の後方移動に効果的なほか、抜歯が必要な症例を非抜歯で治療できる可能性も高まります。また、3Dメタルプリントで一人ひとりに合わせて作製した矯正補助装置と連結することで、治療の幅がさらに広がります。

Merit 01.
治療期間の短縮を図れる
顎骨に矯正用アンカースクリューを埋め込んで安定した固定源として活用することで、対象となる歯のみを前後・上下・左右とフレキシブルに移動させられます。また、複数の歯を一度に大きく移動させることも可能で、治療期間の短縮が期待できます。

Merit 02.
歯を効率よく後方に移動できる
インプラント矯正では、アンカースクリューが安定した固定源となり、歯を効率的に後方へ移動させることができます。従来の矯正治療では、前歯を後方に大きく移動させるためには在宅時や就寝時にヘッドギアを装着する必要がありましたが、インプラント矯正ならそのような手間はかかりません。

Merit 03.
抜歯を避けて治療できる
可能性が高い
歯並びを整えるために顎のスペースが不足しているケースでは、抜歯を行なうことが一般的です。しかし、そのようなケースでも、矯正用アンカースクリューを活用して奥歯を後方に移動させれば、すべての歯が並ぶための充分なスペースを確保しやすくなります。できれば抜歯を避けたいという方にも適した治療法です。

Merit 04.
歯を歯肉の方向へ押し込める
従来の矯正治療では難しかった「歯を歯肉の方向に押し込む治療(圧下)」も、矯正用アンカースクリューを活用することで可能になります。軽度のガミースマイルの場合、アンカースクリューを固定源として前歯を歯肉の方向に押し込むことで、症状を改善できます。また、開咬の治療では、奥歯を歯肉方向に押し込むことで、顔全体のバランスを保ちながら噛み合わせを改善できます。
こんな方におすすめです
- できるだけ治療期間を短縮したい
- 上下の前歯だけが噛み合わない(開咬)
- 抜歯しないで歯並びを整えたい
- 八重歯が目立つのが気になる
- ガミースマイルを治療したい
国際口腔インプラント学会認定医の院長が治療

インプラント矯正では、インプラントを顎骨に埋め込むために外科手術が必要となるため、不安を感じる方も多いかもしれません。横浜元町ナチュラル歯科 矯正歯科の院長は、患者さまにより安全な治療をご提供できるようにインプラント治療の研鑽を積んでおり、国際口腔インプラント学会認定医の資格を取得しています。インプラント矯正の治療経験は20年以上で、さまざまな症例に対応できる技術と知識を積み重ねております。どうぞ安心しておまかせください。
通常の矯正治療法との違い
通常の矯正治療で前歯を後方に移動させる場合は、前歯と奥歯の両方に装置を取り付けて引っ張り合います。そのため、前歯だけを動かしたくても、奥歯も一緒に動いてしまいがちです。
一方、インプラント矯正では、アンカースクリューを歯の移動の固定源にするため、ほかの歯を固定源にする必要がなく、動かしたい歯だけを自由に動かすことができます。通常の矯正治療では歯の移動が難しい症例にもインプラント矯正は適しています。
矯正用アンカースクリュー
(ミニインプラント)とは

矯正用アンカースクリューは、ミニインプラントともよばれますが、失った歯の代わりとして使用される人工歯根のインプラントとは別のものです。材質は生体との親和性に優れたチタンである点は同じですが、サイズは直径1~2mm、長さは6~10mmほどとかなり小さく、歯肉の切開や顎骨に穴をあけるなどの手術は不要です。また、人工歯根のインプラントとは異なり、矯正治療の終了後はすぐに取り外すことができます。永久的に歯肉に埋め込むわけではないので、ご安心ください。
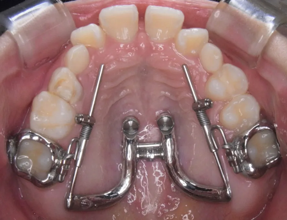
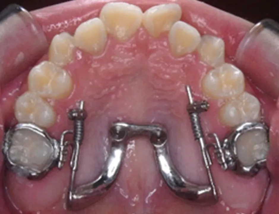
CAD/CAM技術を駆使した
アンカースクリュー連結型
3Dメタルプリント矯正装置

従来、アンカースクリューのヘッド部と矯正装置を連結する際には、主に既製のプレートやリングが使用されていました。しかし現在では、デジタル技術を活用することで、アンカースクリューと連結した矯正装置を作製できるようになっています。
具体的には、3Dスキャナーを使用して、アンカースクリューのヘッド部、上顎の天井の粘膜、歯の3次元的な位置関係をデータとして取得し、そのデータを基にCAD/CAM技術を駆使して矯正装置を設計・製作します。この3Dメタルプリント矯正装置は、歯への適合性と強度に優れており、幅広い症例に対応が可能です。
3Dメタルプリント技術の
応用で
患者さまの症状に
合わせた装置作製も可能に

デジタル技術の進歩により、現在では3Dスキャナーで取得した患者様の口内の3Dデータを基に、CAD/CAM技術を活用して矯正装置の設計から作製まで行なうことが可能です。矯正用アンカースクリューと連結できる矯正装置も、3Dメタルプリント技術を用いて、患者様一人ひとりに合わせて精密に設計・製作することにより、対応可能な症例の幅が広がっています。
ほかのさまざまな装置と
コンビネーション矯正が可能

SHU-lider® EX(拡大)
上顎急速拡大と大臼歯遠心移動が同時に可能

SHU-lider® RE(後方)
ダイナミックな歯体移動によるPhysiologicdrift効果を活用

SHU-lider®+ アライナー装置
(マウスピース型矯正装置)犬歯・小臼歯・大臼歯の歯体移動とアライナーのコンビネーション治療

SHU-lider®+ 舌側ブラケット装置
口蓋部後方の最大固定源を利用した大臼歯遠心移動と前歯エンマス・リトラクション(後方移動)
歯を抜かず上顎を拡げる
骨格拡大矯正(MSE矯正)

上顎を骨格的に拡げる
MSE(上顎骨骨格性拡大装置)は、矯正用アンカースクリューを使って上顎の骨を横に拡大する装置です。上顎の骨は左右に分かれており、その真ん中に正中口蓋縫合とよばれる骨のつなぎ目があります。MSEは、この骨のつなぎ目の右と左にそれぞれ2本ずつ、計4本のアンカースクリューを埋め込んで固定します。これによって左右の骨が少しずつ引き離され、その間に新しい骨が形成されることで、上顎の骨を横へと拡大できます。

上顎の骨を広げる理由
上顎の歯列の幅を拡げるためには、一般的に床矯正とよばれる取り外し式の装置が使われます。この装置を使用すると、歯に軽い力がかかって歯が傾き、歯列の幅が拡がります。ただし、拡大しすぎると歯が本来の位置より外側に移動したり、過剰に傾いてしまったりすることがあります。また、無理に歯列の幅を拡げると、歯槽骨に負担がかかって歯列が不安定になる・歯肉が下がるなどの問題が起きることもあります。これらのことから、歯列の幅ではなく、上顎の骨自体を広げることが重要です。

体への負担を軽減できる
10代前半までは顎の成長を促進して骨格的に拡大することができますが、高校生以上や成人の場合はそのような治療ができないため、以前は全身麻酔で上顎の骨を切って広げる外科手術が必要でした。しかし、MSEを使えば、局所麻酔でアンカースクリューを埋め込むだけで上顎の骨を簡単に拡げることができます。子どもから40~50代の矯正治療にも効果的で、骨を切る外科手術に比べて患者さまの負担が大幅に軽減することが可能です。
MSE(上顎拡大装置)の
応用による治療効果
MSEは正中口蓋縫合とよばれる上顎の真ん中にある骨のつなぎ目を拡大するのですが、ほかの部分にも力がかかります。そのため、MSEにフェイスマスクを併用して上顎を前方に引っ張ると、成長期の骨格的な受け口の改善にも効果が期待できます。また、上顎を骨格的に拡げることで鼻腔や気道も拡がり、鼻呼吸がしやすくなります。これにより、いびきや睡眠時無呼吸症候群の予防効果も期待できます。
インプラント矯正の注意点
アンカースクリューを埋め込む
処置が必要
治療を進めるためには、アンカースクリューを顎骨に埋め込む処置が必要です。上顎や下顎の骨に治療に必要な数だけスクリューを埋め込みます。この処置は範囲の小さな外科処置になるため、局所麻酔をしたうえで行ないます。処置自体は最長でも15分ほどで、基本的に歯肉の切開はともないません。痛みなどの心配はほとんどありませんが、恐怖心や不安が強い方もいらっしゃるかと思いますので、その場合は事前にご相談ください。
アンカースクリューが
目立つ場合がある
アンカースクリューを埋め込む位置は、歯並びの状態によって変わります。上顎の天井や奥歯の歯肉部分に埋め込む場合は、外からは見えないため目立ちません。しかし、前歯の歯肉に埋め込む場合は、口を開けたときに見えてしまうことがあります。周囲に気づかれずに矯正治療を進めたい方にとっては、見た目に抵抗を感じることがあるかもしれません。
たまにアンカースクリューが
抜ける場合がある
アンカースクリューは一時的に顎骨に埋め込む矯正装置ですが、ごくたまに顎骨の厚さなどの影響で抜け落ちてしまうことがあります。しかし、もし抜けてしまった場合でも、位置を調整して再び埋め込むことで、治療を続けられます。治療中にアンカースクリューの揺れなどの不具合を感じた場合は、速やかにご相談ください。
治療の流れ
- Step 01

初診・カウンセリング
患者さまのお口を拝見し、歯並びや噛み合わせの状態を確認します。また、具体的なお悩みや治療に対するご要望を伺い、選択できる矯正治療の内容や治療期間、おおよその費用についてわかりやすくご説明します。
- Step 02

精密検査
患者さまの口や顎の情報を取得するため、3Dスキャナーによる歯型の採取や顔貌・口腔内の写真撮影、パノラマやセファロのレントゲン撮影などの精密検査を実施します。
- Step 03

診断と治療計画の説明
精密検査の結果をもとにお口の状態を診断し、患者さまに適した治療計画を立案してご提案します。選択する治療法や装置の種類によって治療期間や費用が異なるため、患者さまのご希望を考慮し、より良い治療をご提案します。疑問点やご要望があれば遠慮なくお知らせください。
- Step 04

矯正前治療・準備
治療計画にご納得いただいたら、治療を始める前には虫歯や歯周病を防ぐために歯のクリーニングを行ない、治療中の正しい歯磨き方法をレクチャーします。
- Step 05

アンカースクリューを
埋め込む歯肉の上から矯正用アンカースクリューを埋め込みます。局所麻酔してから処置を行なうので強く痛むような心配はありません。 1本につき3分ほどで埋め込むことができます。
- Step 06

アンカースクリューの
安定性を確認歯の移動を始める前に、アンカースクリューがしっかりと固定されているかを確認します。すぐに安定することもあれば、安定までに少し時間がかかることもあります。
- Step 07

歯を移動させる
アンカースクリューとブラケットなどの矯正装置にゴムやスプリングを取り付け、アンカースクリューを固定源として利用して歯を移動させます。
- Step 08

アンカースクリューの
取り外しアンカースクリューを利用した歯の移動が完了したら、顎骨に埋め込んだアンカースクリューを取り外します。取り外した後の歯肉は、1週間ほどで元の状態に戻ります。スクリューを取り外すまでの期間には個人差がありますが、一般的には6ヵ月から1年ほどです。
- Step 09

追加の矯正治療期間
噛み合わせの状態に応じて、矯正装置を使ってさらに歯並びを整えていきます。治療期間は通常6ヵ月から1年半ほどです。治療中は3〜6週間に1回の頻度で通院していただきます。通院時には歯の移動状況のチェックや装置の調整、歯磨き指導などを実施します。
- Step 10

治療の終了と保定
歯並びが整ったら、後戻りを防ぐために歯並びを安定させる保定装置を使用していただきます。保定期間中は3ヵ月に1回程度の頻度で通院してください。保定に必要な時間は通常1~3年ほどです。
治療における注意点等
矯正治療にともなう一般的なリスク・副作用
・矯正治療の一般的な治療費は60万~150万円、一般的な治療期間は2~3年、一般的な治療回数は24~36回となります。使用する装置、症状や治療の進行状況などにより変化しますので、参考程度にお考えいただき、詳細は歯科医師にご確認ください。
・機能性や審美性を重視するため、公的健康保険対象外の自費診療となり、保険診療よりも高額になります。
・最初は矯正装置による不快感、痛みなどがあります。数日から1~2週間で慣れることが多いです。
・治療期間は症例により異なりますが、成人矯正や永久歯がすべて生えそろっている場合は、一般的に1年半~3年を要します。小児矯正においては、混合歯列期(乳歯と永久歯が混在する時期)に行なう第1期治療で1~2年、永久歯がすべて生えそろったあとに行なう第2期治療で1~2年半を要することがあります。
・歯の動き方には個人差があるため、治療期間が予想より長期化することがあります。
・装置や顎間ゴムの扱い方、定期的な通院など、矯正治療では患者さまのご協力がたいへん重要であり、それらが治療結果や治療期間に影響します。
・治療中は、装置がついているため歯が磨きにくくなります。虫歯や歯周病のリスクが高まるので、丁寧な歯磨きや定期メンテナンスの受診が大切です。また、歯が動くことで見えなかった虫歯が見えるようになることもあります。
・歯を動かすことにより歯根が吸収され、短くなることがあります。また、歯肉が痩せて下がることがあります。
・ごくまれに、歯が骨と癒着していて歯が動かないことがあります。
・ごくまれに、歯を動かすことで神経に障害を与え、神経が壊死することがあります。
・治療中に金属などのアレルギー症状が出ることがあります。
・治療中に、「顎関節で音が鳴る、顎が痛い、口をあけにくい」などの顎関節症状が出ることがあります。
・問題が生じた場合、当初の治療計画を変更することがあります。
・歯の形状の修正や、噛み合わせの微調整を行なうことがあります。
・矯正装置を誤飲する可能性があります。
・装置を外すときに、エナメル質に微小な亀裂が入る可能性や、補綴物(被せ物など)の一部が破損することがあります。
・装置を外したあと、保定装置を指示どおりに使用しないと後戻りが生じる可能性が高くなります。
・装置を外したあと、現在の噛み合わせに合わせて補綴物(被せ物など)の作製や虫歯治療などをやり直す可能性があります。
・顎の成長発育により、歯並びや噛み合わせが変化する可能性があります。
・治療後に、親知らずの影響で歯並びや噛み合わせが変化する可能性があります。
・加齢や歯周病などにより、歯並びや噛み合わせが変化することがあります。
・矯正治療は、一度始めると元の状態に戻すことが難しくなります。
歯科矯正用アンカースクリューによる矯正治療にともなう一般的なリスク・副作用
・公的健康保険対象となる使用方法と、公的健康保険対象外の自費診療となる使用方法があり、自費診療となる場合は保険診療よりも高額になります。
・骨と化学的な結合をしないため、患者さまの骨の状態や口腔衛生状態によっては脱落することがあります。
・脱落した場合は再埋入を行なうことがあります。脱落部分の骨の穴が回復するまで数ヵ月の時間を要するため、別の部分に埋め込むことがあります。
・歯科矯正用アンカースクリューは骨に埋まっていますが、その頭部は歯肉の外にあるため、ケアを怠ると骨に感染することがあります。
・歯科矯正用アンカースクリューは歯根の間に埋入されることが多いため、埋入時に歯根を傷つけることがあります。
MSEにともなう一般的なリスク・副作用
・機能性や審美性を重視するため、公的健康保険対象外の自費診療となり、保険診療よりも高額になります。
・上顎の骨を拡げる力を加えるため、治療中に痛みや違和感を覚えることがあります。
・装置を接着剤で歯に固定するので自分で取り外すことはできません。
・装置を装着したあと1週間程度は、これまでとは違った感覚によりストレスを感じることがあります。
・MSEによる治療は、定期的な通院と調整が必要です。
・MSEはすべての患者さまに適用できるわけではありません。特定の症例や骨の状態によっては、ほかの治療法が適している場合もあります。
3D口腔内スキャナーを用いた治療にともなう一般的なリスク・副作用
・光学的に口腔内の印象を採得し、ディスプレイに表示して診療や患者さまへのご説明に使用したり、採得した3Dデータに基づき、補綴物などの設計・製造に使用します。
・印象剤を使用した従来の印象採得に比べ、印象採得時の不快感は大幅に軽減されますが、お口の中にスキャナーが入るため、ごくまれに多少の不快感を覚えることがあります。
レントゲン装置を用いた検査にともなう一般的なリスク・副作用
・治療内容によっては保険診療となることもありますが、基本的には自費(保険適用外)での診療となり、保険診療よりも高額になります。
・診査中はできるだけ顎を動かさないようにする必要があります。
・人体に影響しない程度(アナログレントゲン撮影装置の1/10以下)のごくわずかな被ばくがあります。
・ペースメーカーを使われている方、体内に取り外せない金属類がある方、妊娠中または妊娠の可能性のある方は検査を受けられないことがあります。
セファログラムを用いた検査にともなう一般的なリスク・副作用
・自費診療(保険適用外)となる場合は、保険診療よりも高額になります。
・診査中はできるだけ顎を動かさないようにする必要があります。
・人体に影響しない程度のごくわずかな被ばくがあります。
SHU-lider®を用いた治療にともなう一般的なリスク・副作用
・矯正用アンカースクリューとデジタル技術を応用した、スライディング・メカニクス(歯につけられたブラケットスロットのなかのワイヤーを滑らすように歯を移動させていく仕組み)による3Dメタルプリント矯正装置です。
・機能的・審美的に仕上げるための治療なので公的健康保険対象外の自費診療となり、保険診療よりも高額になります。
・顎の成長に影響を与える可能性があり、個人の状況によって適用できない場合があります。
薬機法において承認されていない医療機器「SHU-lider®」について
当院でご提供している矯正装置「SHU-lider®」は、薬機法(医薬品医療機器等法)においてまだ承認されていない医療機器となりますが、当院ではその有効性を認め、導入しています。
◦未承認医療機器に該当
薬機法上の承認を得ていません(独立行政法人 医薬品医療機器総合機構ウェブサイトにて2025年3月24日最終確認)。
◦入手経路等
株式会社アソインターナショナルより入手しています。
◦国内の承認医療機器等の有無
国内では、SHU-lider®と同様の性能を有した承認医療機器は存在しない可能性があります(独立行政法人 医薬品医療機器総合機構ウェブサイトにて2025年3月24日最終確認)。
◦諸外国における安全性等にかかわる情報
情報が不足しているため、ここではSHU-lider®の諸外国における安全性等にかかわる情報は明示できません。今後重大なリスク・副作用が報告される可能性があります。
医薬品副作用被害救済制度・生物由来製品感染等被害救済制度の救済対象外
国内で承認を受けて製造販売されている医薬品・医療機器(生物由来等製品である場合に限る)・再生医療等製品による副作用やウイルス等による感染被害で、万が一健康被害があったとき、「医薬品副作用被害救済制度」「生物由来製品感染等被害救済制度」などの公的な救済制度が適用されますが、未承認医薬品・医療機器・再生医療等製品の使用は救済の対象にはなりません。また、承認を受けて製造販売されている医薬品・医療機器・再生医療等製品であっても、原則として決められた効能・効果、用法・用量および使用上の注意に従って使用されていない場合は、救済の対象にはなりません。
日本では、完成物薬機法対象外の矯正装置であり、医薬品副作用被害救済制度の対象外となります。
※当該未承認医薬品・医療機器を用いた治療の広告に対する注意事項の情報の正確性について、本ウェブサイトの関係者は一切責任を負いません。
資格について
「The International Congress of Oral Implantologists Fellowship(国際口腔インプラント学会認定医)」について
「一般社団法人 ICOI(国際口腔インプラント学会=The International Congress of Oral Implantologists)」は、インプラント治療において一定の知識・技術を有しており、適切な診断と治療を行なえる歯科医師・歯科技工士に対して、「認定医(Fellowship)」の資格を与えています。
◦「Fellowship(認定医)」資格取得の条件
・歯科医師または歯科技工士の免許を有している。
・ICOIのActive Memberである。
・最終補綴物を装着後、1年間以上経過しているインプラント症例が20症例以上ある。
・過去5年間にICOI学術大会に1回以上参加している。
・過去5年間に生涯研修(CE)クレジット時間が100時間以上ある。
など
◦「Fellowship(認定医)」資格保持の条件
・3年ごとに認定の更新を行なう。
・Fellowship資格取得後、継続してICOIのActive Memberである。
・ICOI学術大会に1回以上参加する。
など
詳しくは、「ICOI Fellowship(認定医)」をご覧ください。














